http://dx.doi.org/10.35381/s.v.v6i1.1781
Densidad ósea de los espacios interradiculares del maxilar mediante CBCT
Bone density of the maxilla interradicular spaces by CBCT
daniela.rojas@psg.ucacue.edu.ec
Universidad Católica de Cuenca, Cuenca, Cuenca
Ecuador
https://orcid.org/0000-0003-2058-8190
Juan Hermida-Muñoz
Universidad Católica de Cuenca, Cuenca, Cuenca
Ecuador
https://orcid.org/0000-0001-6095-0786
José David Aguilar-Maldonado
Universidad Católica de Cuenca, Cuenca, Cuenca
Ecuador
https://orcid.org/0000-0001-5964-3105
Recibido: 15 de enero 2022
Revisado: 10 de febrero 2022
Aprobado: 15 de abril 2022
Publicado: 01 de mayo 2022
RESUMEN
Objetivo: Registrar la densitometría ósea mediante CBCT en las zonas inter radiculares del maxilar superior para determinar cuál es la zona idónea para la colocación de microimplantes. Método: Estudio descriptivo observacional, incluyo a 103 tomografías, se realizaron diferentes cortes para determinar la densidad ósea de cada zona del área molar tomando como referencia 0.5 mm del borde inferior de la cresta alveolar y 0.6 mm de profundidad hacia la tabla ósea teniendo como referencia la menor longitud de un microtornillo ortodóntico. Resultados: es posible determinar que la zona con mayor densidad interradicular en el maxilar se presentó en el sexo femenino Z_7_D y zona menos densa Z_6_D, para el sexo masculino el área más densa es Z_4_D, mientras que la zona menos densa en los varones es la Z_7_I, por lo tanto, el área idónea para la colocación de microtornillos ortodónticos es la zona 4 (Z_4).
Descriptores: Tomografía computarizada de haz cónico; densidad ósea; hueso cortical. (Fuente: DeCS).
ABSTRACT
Objective: To record the bone densitometry by CBCT in the inter-root areas of the upper jaw to determine which is the ideal area for the placement of microimplants. Method: descriptive observational study, including 103 tomographies, different cuts were performed to determine the bone density of each zone of the molar area taking as reference 0.5 mm from the lower edge of the alveolar ridge and 0.6 mm deep towards the bone table taking as reference the shortest length of an orthodontic micro-screw. Results: it is possible to determine that the area with the highest interradicular density in the maxilla was presented in the female sex Z_7_D and less dense area Z_6_D, for the male sex the most dense area is Z_4_D, while the least dense area in males is Z_7_I, therefore, the ideal area for the placement of orthodontic micro-screws is zone 4 (Z_4).
Descriptors: Cone-beam computed tomography; bone density; cortical bone. (Fuente: DeCS).
En 1900, Angle propuso realizar el movimiento de dientes mediante la aplicación de fuerzas para hacerlos cambiar de posición utilizando otro diente como anclaje. 1 2 Sin embargo, el diente de anclaje, experimentaba una fuerza de la misma magnitud, pero en dirección opuesta, promoviendo movimientos indeseables de otros dientes. 3 4 5 Eventualmente, este problema llevó al desarrollo de una técnica de anclaje esqueletal en 1945 por Gainsforth y Higley 6 7 en sus primeros experimentos utilizando tornillos y la cual fue revisada posteriormente por Creekmore y Eklund en 1983 8 9 demostrando que los dientes podían ser movidos sin causar efectos secundarios en otro grupo de dientes utilizando un implante anclado en el hueso del maxilar. 10
Los minitornillos en ortodoncia o microimplantes o TADs (dispositivos de anclaje temporal) se han convertido en un anclaje de tipo esqueletal muy popular donde existen un número creciente de estudios acerca de ellos, sin embargo, existe controversia entre los factores que influyen en el éxito de los minitornillos en ortodoncia tales como, los sitios de la colocación, tipo de hueso y su densidad ósea, técnica quirúrgica, tipo y material del microimplantes, entre otros.
La cortical alveolar de los maxilares es un tema de interés máximo, que todos los clínicos deberían tener clara la importancia de esta, ya que esta es la lámina de protección de los huesos que defiende al órgano óseo de presuntas eventualidades catastróficas. 11 12 13 En la continua búsqueda de encontrar un anclaje absoluto dentro de la ortodoncia que contenga ciertas características de interés para que su uso sea 100% exitoso,14 15 hay que tener una evaluación el sustrato a usar y en este distinguido caso sería el estudio del material óseo maxilar, antes de la colocación de los microimplantes esto resulta fundamental para definir su cantidad y calidad. Estas características se obtienen evaluando la densidad de este mediante tomografía computarizada en UH (Unidades Hounsfield), que resulta ser la manera más eficaz de obtenerlo. 16 17 18 19
El tejido óseo maxilar al igual con las diferentes zonas de los otros huesos del cuerpo humano presenta variaciones estructurales las mismas que definen su calidad, 20 21 22 lo cual tiene que ser tomado en cuenta a la hora de incluirlo dentro del tratamiento de ortodoncia como anclaje para así tener un tratamiento exitoso frente a la estabilidad del mini tornillo ortodóntico, principalmente el espesor de los tejidos blandos y el grosor de la cortical ósea. 4
Se tendría que determinar entonces los sitios idóneos para la colocación de estos por lo que la evidencia científica determina que se ha encontrado en estudios anteriores que el maxilar superior presenta una cortical alveolar significativamente menos compacta y gruesa que la mandibular. 23 24 El diagnóstico por imágenes nos permite valorar los aspectos estructurales del hueso. Las imágenes tomográficas (TC) nos provee la posibilidad de analizar y probar la calidad de los aspectos anatómicos del hueso maxilar como: el grosor de las corticales y el espesor del reborde alveolar, la densidad ósea, 25 también nos ayuda a resolver milimétricamente el vínculo de estructuras vecinas de los potenciales sitios de implantes con otras estructuras tales como; senos maxilares, fosas nasales y conducto dentario inferior, raíces dentarias, datos importantes a tomar en cuenta al momento de seleccionar las dimensiones del microtornillo ortodontico, su longitud y diámetro. 2 4 6
La intención de este proyecto es generar información actualizada acerca de todos los aspectos vinculados con la valoración de la densidad del tejido óseo de la zona donde serán colocados los micro implantes utilizando tomografía computarizada Cone Beam.
Se realizó un estudio Descriptivo, observacional con un enfoque Cuantitativo de corte transversal retrospectivo, en Tomografías Computarizadas de haz Cónico de Cabeza y Cuello completo (CBCT), en un universo de 400 Tomografias de individuos de 20 a 24 años de edad en un centro radiográfico de la ciudad de cuenca, se empleó un equipo de CBCT TAC 3D Newton Tomography GI-EVO Multicorte (Cone Bean) en posición natural de cabeza en máxima intercuspidación. Mediante Criterios de selección establecidos por los investigadores se determinó una muestra de 103 tomografías computarizadas de cráneo completo. (CBCT).
- Criterios de Inclusión
· Se incluyeron en el presente estudio todas las CBCT, realizadas a los pacientes de 20 a 24 años de edad de la provincia del Azuay Ecuador.
· Se incluyeron todas las tomografías que se encuentran legibles.
· Se Incluyeron únicamente las tomografías que presenten los 28 principales dientes en boca
- Criterios de Exclusión
· Se excluyeron del estudio pacientes que no cumplan con el rango de edad.
· Se excluyeron del estudio en el caso de personas a los que tengan fracturas o lesiones a nivel de cabeza y mujeres en estado de gestación.
· Se excluyeron del estudio pacientes que tengan síndromes craneofaciales notorios o evidentes.
· Se excluyeron a pacientes que tengan dientes retenidos y supernumerarios que sean parte del estudio
· Se excluyeron todas las tomografías donde se muestre la pieza 1.8 – 2.8 impactadas sobre las piezas 1.7 – 2.7
Para determinar la muestra de los individuos de 20 a 24 años de edad obteniendo como muestra global 400 tomografías las mismas que fueron sometidas a un filtro de visualización y observación tomando en cuenta los criterios de selección. Cabe recalcar que el presente estudio investigativo no implico conflictos bioéticos, debido a que se ejecutó sobre una base de datos que cumple con estándares y estatutos determinados anteriormente; además se mantuvo el anonimato de los datos personales de los individuos evaluados en el estudio.
Una vez seleccionadas las radiografías teniendo en cuenta todos estos criterios se llegó a un final de 103 tomografías de cráneo completo las mismas que fueron analizadas mediante el software visualizador NNT Viewer, se realizaron las calibraciones necesarias entre los expertos clínicos especialistas: Ebingen Villavicencio Caparo. PhD (estadístico); Juan Hermida Muñoz Esp. (Clínico Imagenológico); Ronald R. Ramos M. PhD (estadístico, clínico- imagenológico) y el investigador llegando a un acuerdo donde:
Los datos recopilados fueron número de registro, edad del paciente, sexo, corte de la zona maxilar interradicular de donde se tomó la muestra. Se llego a un consenso con los expertos donde se tomó en cuenta los siguientes puntos anatómicos para la toma de la medida mediante Unidades Homsfield.
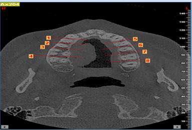
§ Se realizaron diferentes cortes coronales entre cada pieza dental de la zona molar del maxilar (imagen 3)
§ Por cada corte se tomaba en cuenta 0.5 mm desde la cresta alveolar hacia la zona de la línea mucogingival. (imagen 1)
§ Con una profundidad de 0.6 mm a través de la cortical hacia la tabla ósea que es el valor mínimo de un microtornillo ortodóntico en sentido horizontal (imagen 2) interradicular. Las Zonas a medir fueron:
o Z_4_D que corresponde al espacio entre las piezas 1.3 – 1.4 (Zona 4 Derecha)
o Z_5_D que corresponde al espacio entre las piezas 1.4 – 1.5 (Zona 5 Derecha)
o Z_6_D que corresponde al espacio entre las piezas 1.5 – 1.6 (Zona 6 Derecha)
o Z_7_D que corresponde al espacio entre las piezas 1.6 – 1.7 (Zona 7 Derecha)
o Z_4_I que corresponde al espacio entre las piezas 2.3 – 2.4 (Zona 4 Izquierda)
o Z_5_I que corresponde al espacio entre las piezas 2.4 – 2.5 (Zona 5 Izquierda)
o Z_6_I que corresponde al espacio entre las piezas 2.5 – 2.6 (Zona 6 Izquierda)
o Z_7_I que corresponde al espacio entre las piezas 2.6 – 2.7(Zona 7 Izquierda)
Finalmente se mide las Unidades Hounsfield (UH) a 6 mm intraóseo e interradicular. (Imagen 1,2,3,4).




![]() |
|||
RESULTADOS
El estudio incluyo 103 Tomografías Cone Bean de cráneo completo de los cuales el 58.25% (n= 60) son mujeres y el 41.75% (n=43) son Hombres, en un rango de edad de 20 a 24 años que cumplieron con los criterios de selección.
El promedio de edad fue de 21.58 para Mujeres y de 22.04 para Hombres, los resultados de cada zona en cuanto promedio, desviación estándar, máximo y mínimo se representa en las siguientes tablas de datos:
Densidad Ósea Interradicular para Mujeres
El promedio de densidad par el sexo femenino se representa de la siguiente manera la zona más densa para la hemiarcada derecha es la zona 7 (Z_7) con un valor de 1164 UH y la Zona menos densa es la Zona 6 (Z_6) con un valor de 1098UH. Para la Hemiarcada Izquierda muestra que la zona más densa es la zona 4 (Z_4) con un valor de 1216UH y la menos densa es la Zona 6 (Z_6) con un valor de 1130 UH. (Tabla 2)
Tabla 1.
Descripción de edad y sexo de una muestra de 103 tomografías.
|
EDADES |
20 |
% |
21 |
% |
22 |
% |
23 |
% |
24 |
% |
Total |
|
FEMENINO |
14 |
50% |
18 |
86% |
13 |
65% |
9 |
64% |
6 |
30% |
60 |
|
MASCULINO |
14 |
50% |
3 |
14% |
7 |
35% |
5 |
36% |
14 |
70% |
43 |
|
Total, General |
28 |
100% |
21 |
100% |
20 |
100% |
14 |
100% |
20 |
100% |
103 |
Tabla 2.-
Medidas tomadas de los cortes tomográficos de las zonas interradiculares del área molar.
|
ANALISIS DESCRIPTIVO VALORES DE DENSIDAD (UNIDADES HOUNSFIELD) DE LAS ZONAS INTERADICULARES DE HOMBRES Y MUJERES |
||||||||||
|
Sexo |
Medida |
Z_7_D |
Z_6_D |
Z_5_D |
Z_4_D |
Z_7_I |
Z_6_I |
Z_5_I |
Z_4_I |
|
|
Femenino |
Máximo |
1871 |
1716 |
1562 |
1583 |
2396 |
1994 |
2000 |
1863 |
|
|
|
Media |
1164 |
1098 |
1137 |
1118 |
1141 |
1130 |
1149 |
1216 |
|
|
|
Mínimo |
723 |
514 |
569 |
743 |
575 |
339 |
478 |
794 |
|
|
|
Devest |
217 |
237 |
215 |
210 |
282 |
264 |
244 |
216 |
|
|
Masculino |
Máximo |
2051 |
1788 |
1834 |
1735 |
2281 |
2128 |
2023 |
2204 |
|
|
|
Media |
1097 |
1094 |
1120 |
1191 |
1050 |
1098 |
1129 |
1213 |
|
|
|
Mínimo |
404 |
693 |
621 |
650 |
305 |
627 |
626 |
689 |
|
|
|
|
Devest |
303 |
231 |
276 |
238 |
369 |
294 |
308 |
290 |
Densidad Ósea Interradicular para Hombres
Mientras que para el sexo Masculino las áreas más densas de la hemiarcada derecha son la zona del área 4 (Z_4) con un valor de 1120 UH y la menos densa es la zona 6 (Z_6) con un valor de 1094UH. La hemiarcada izquierda los valores mayores está en la Zona 4 Izquierda con un valor de 1213 UH y la menos densa es la zona 7 (Z_7) con un valor de 1050UH. (Tabla 2).

Gráfico 1. Análisis Descriptivo Valores de Densidad (Unidades Hounsfield) de las zonas Interradiculares de hombres y mujeres.

Gráfico 2. Densidad ósea de acuerdo a zonas y sexo.
DISCUSIÓN
El total de participantes fueron de 103 Tomografías Cone Beam (CBCT) de cráneo completo, que cumplieron con los criterios de selección en un rango de edad de 20 a 24 años. El interés de este estudio fue conocer la densidad ósea interradicular del área molar del maxilar, para así encontrar un área óptima para la colocación de microtornillo ortodónticos. el presente estudio, muestra que el sexo femenino es más denso que el masculino y que la zona más densa es la parte posterior en el sexo femenino, mientras que en el sexo masculino la zona más densa es en área interradicular de los premolares lo cual no es coincidente con este estudio realizado por Cassetta et al. 18 en el año 2013 en Roma, Italia llamado “Evaluación del grosor y la densidad del hueso cortical alveolar para la colocación de mini implantes ortodónticos”, en el que realizaron cortes en 48 Tomografías computarizadas en donde concluyeron que los adultos tienen un hueso cortical más denso que los adolescentes, el grosor y la densidad del hueso maxilar en hombres es más denso que en mujeres, y que el hueso en el sector posterior es más denso que en el sector anterior. Donde también concuerda con este estudio donde el área entre el primer molar y segundo molar es la más densa. 10 26
En un estudio realizado por Jin-Hugh Choi et al. 10 Llamado “Medición de la densidad ósea en áreas interdentales con colocación simulada de implantes minitornillos de ortodoncia” en el que el propósito del mismo fue determinar la densidad ósea en diversos sitios de implantes ortodónticos y compararlos según la profundidad y el área donde demostraron un aumento progresivo de la zona posterior a la anterior, en comparación a este coincide ya que las zonas más densas son desde la parte posterior a la anterior en el sexo femenino, ya que en el sexo masculino es de adelante hacia atrás en sentido decreciente. 27
En otro estudio realizado por Chávez et al. 9 titulado “Zonas «seguras» de mayor cantidad ósea para colocación de mini implantes interradiculares en cortical vestibular de maxilares superiores en pacientes periodontal mente comprometidos’’ donde su objetivo principal era determinar las zonas seguras que ayuden al clínico a determinar la colocación de microimplantes ortodónticos en 50 Tomografías maxilares y llegaron a la conclusión de que las posibles zonas seguras para la colocación de microimplantes son entre el segundo premolar y primero molar a los 2, 5, 8 y 11 mm, lo cual no es coincidente con este estudio en cuanto a su ubicación ya que la zona más densa es a nivel del primer molar y segundo molar de lado derecho para el sexo femenino, y subsecuente a este la segunda zona más segura es la zona del primer premolar para ambos sexos es la zona más confiable para colocar microtornillos ortodónticos. 28
En un estudio denominado “Medición de la cortical ósea vestíbulo-palatino en pacientes braquifaciales y dólicofaciales con tomografía Cone beam” 29 realizado por Ramos, Ronald et al. En el 2019. Donde mediaron la cortical del área molar en los dos biotipos faciales tanto Dólicofaciales y Braquifaciales, podemos comparar con el presente estudio en la zona molar ellos obtuvieron un resultado donde la cortical es más gruesa en esa zona en ambos biotipos, no existen diferencias significativas y en este estudio la zona del área molar es la más densa.
En un estudio realizado el 2018-2019 en Cusco – Perú denominado “Evaluación de la densidad ósea maxilar y mandibular con Unidades Hounsfield en tomografías Cone Beam” 26 determinaron en 233 tomografías que la densidad ósea es mayor en el sector anterior ósea en la zona de los incisivos y que la zona Molar es la que menos densa a nivel de todo el maxilar, lo que resulta contradictorio a la presente investigación.
CONCLUSIONES
Con la población estudiada que las Zona con más densidad ósea en el maxilar para el sexo femenino la zona 7 (Z_7_D) derecha que corresponde a el área interradicular entre el primer molar y segundo molar esto correspondiente a la hemiarcada derecha, para la hemiarcada izquierda la zona más densa es la zona 4 (Z_4_I). Mientras que para el sexo Masculino la zona más densa para la hemiarcada derecha es la Zona 4 (Z_4_D), y en la hemiarcada izquierda la zona más densa es la zona 4 Z_4_I. Concluyendo así que el área idónea para colocación de microtornillos ortodónticos es la zona 4 para ambos sexos.
CONFLICTO DE INTERÉS
Los autores declaran que no tienen conflicto de interés en la publicación de este artículo.
FINANCIAMIENTO
No monetario.
AGRADECIMIENTO
A todos los agentes sociales involucrados en el proceso investigativo.
REFERENCIAS
1. Velasco Torres M. Estudio morfométrico de las variables anatómicas que influyen en procedimientos quirúrgicos en maxilares mediante técnicas de tomografía computarizada de haz cónico [Morphometric study of the anatomical variables that influence surgical procedures in the jaws using cone beam computed tomography techniques] [Internet]. 2015. Available from: http://hdl.handle.net/10481/43261
2. Morales S, Martínez MJ, Barona C. Estudio densitométrico en maxilar y mandíbula con tomografía computarizada cuantitativa [Densitometric study of the maxilla and mandible with quantitative computed tomography.]. 2013. Available from: https://eprints.ucm.es/id/eprint/20047/
3. Mosquera Torrejón J. Evaluación tomográfica de la densidad ósea y espesor de la cortical de rebordes edéntulos de la región posteroinferior, según género [Tomographic evaluation of bone density and cortical thickness of edentulous ridges of the posteroinferior region, according to gender.]. [Internet]. 2017. Available from: https://cybertesis.unmsm.edu.pe/handle/20.500.12672/6212
4. Arismendi JA, Ocampo ZM, González FJ, Morales M. Miniimplantes como anclaje en ortodoncia [Mini-implants as anchorage in orthodontics]. Rev Fac Odontol Univ Antioq. 2006;18(1):82–94.
5. Barba Evia JR. Marcadores de remodelado óseo y osteoporosis [Markers of bone remodeling and osteoporosis]. Medigraphic [Internet]. 2011;58(3):113–37. Available from: https://n9.cl/a6c65
6. Ono A, Motoyoshi M, Shimizu N. Cortical bone thickness in the buccal posterior region for orthodontic mini-implants. International Journal of Oral and Maxillofacial Surgery. 2008 Apr;37(4):334–40.
7. Arismendi JA, Ocampo ZM, González FJ, Morales M. Miniimplantes como anclaje en ortodoncia [Mini-implants as anchorage in orthodontics]. Vol. 18, Rev Fac Odontol Univ Antioq. 2006.
8. Ferreira Júnior O, Munhoz EA, Segantin JF, Gonçales ES, Carvalho PSP. Tomographic late evaluation of xenogeneic bone grafts in sockets of impacted third molars. J Appl Oral Sci. 2018;26:e20170396. Published 2018 Jul 16. doi:10.1590/1678-7757-2017-0396
9. Nucera R, Lo Giudice A, Bellocchio AM, et al. Bone and cortical bone thickness of mandibular buccal shelf for mini-screw insertion in adults. Angle Orthod. 2017;87(5):745-751. doi:10.2319/011117-34.1
10. Chaves Gómez A, Grageda Nuñez E, Uribe Querol E. Zonas seguras de mayor cantidad ósea para colocación de mini implantes interradiculares en cortical vestibular de maxilares superiores en pacientes periodontalmente comprometidos [Safe areas of increased bone quantity for placement of interradicular mini implants in the vestibular cortex of the upper jaw in periodontally compromised patients.]. Medigraphic [Internet]. 2015 [cited 2022 Apr 2];3(3):148–53.
11. Choi JH, Park CH, Yi SW, Lim HJ, Hwang HS. Bone density measurement in interdental areas with simulated placement of orthodontic miniscrew implants. American Journal of Orthodontics and Dentofacial Orthopedics. 2009;136(6):766.e1-766.e12.
12. Fayeda MMS, Pazerab P, Katsarosc C. Optimal sites for orthodontic mini-implant placement assessed by cone beam computed tomography. Angle Orthodontist. 2010 Sep;80(5):939–51.
13. Park J, Cho HJ. Three-dimensional evaluation of interradicular spaces and cortical bone thickness for the placement and initial stability of microimplants in adults. American Journal of Orthodontics and Dentofacial Orthopedics. 2009;136(3):314.e1-314.e12.
14. Lee KJ, Joo E, Kim KD, Lee JS, Park YC, Yu HS. Computed tomographic analysis of tooth-bearing alveolar bone for orthodontic miniscrew placement. American Journal of Orthodontics and Dentofacial Orthopedics. 2009 Apr;135(4):486–94.
15. Deguchi T, Nasu M, Murakami K, Yabuuchi T, Kamioka H, Takano-Yamamoto T. Quantitative evaluation of cortical bone thickness with computed tomographic scanning for orthodontic implants. American Journal of Orthodontics and Dentofacial Orthopedics. 2006;129(6):721.e7-721.e12.
16. Bossio R. Densitometría mineral ósea por tomografía computada [Bone mineral densitometry by computed tomography]. 2015;4–5.
17. Romero ME, Veloso C. Ma, Krupp S. Evaluación de la calidad del hueso en sitios de implantes dentales con tomografía computarizada [Evaluation of bone quality at dental implant sites with computed tomography]. Acta Odont Venez. 2016;54.
18. Aranha Watanabe P, Aparecida Caldeira Monteiro S, Carvalho Tenfuss Campbell J, Alberto Aristizabal Elejalde WATANABE D, A Análisis AD. Análisis del patrón óseo trabecular de mandíbulas maceradas en radiografías panorámicas digitales [AD analysis. Analysis of the trabecular bone pattern of macerated jaws in digital panoramic radiographs]. Int J Morphol. 2006;24(3):369–76.
19. Cassetta M, Sofan AAA, Altieri F, Barbato E. Evaluation of alveolar cortical bone thickness and density for orthodontic mini-implant placement. Journal of Clinical and Experimental Dentistry. 2013 Dec;5(5):245–52.
20. Scheibel PC, Ramos AL, Cristina L, Iwaki V, Micheletti KR. Analysis of correlation between initial alveolar bone density and apical root resorption after 12 months of orthodontic treatment without extraction. Dental Press J Orthod [Internet]. 2014;(5):97–102. Available from: http://dx.doi.org/10.1590/2176-9451.19.5.097-102.oar
21. Cocios Arpi, Janina Fernanda; Trelles Méndez, Jessica Aracely; Jinez Zuñiga, Paulina Alexandra; Zapata Hidalgo, Christian David; & Ramos Montiel Roossevelt. Correlación cefalométrica del mentón y cuerpo mandibular en adultos jóvenes andinos, año 2019 [Cephalometric correlation of chin and mandibular body in Andean young adults, year 2019]. Revista Dilemas Contemporáneos: Educación, Política y Valores [Internet]. 2021;6.
22. Trelles Méndez JA, Avary J, Jimenez T, Dayana J, Alba J, Roossevelt R, et al. Cephalometric morphology of chin symphysis in young individuals from the city of Quito-Ecuador.
23. Ordoñez Pintado AR, Trelles Méndez JA, Carrión Sarmiento MV, Zapata Hidalgo CD, Ramos Montiel RRoossevelt. Cephalometric proportionality between the chin and its ante- rior projection in young andean adults. Revista Científica de la Universidad de Cienfuegos. 2021;13(5):439–44.
24. Mendoza Bravo I, Arias González JA, Villalobos Vera DI, Ruiz Reyes H. Comportamiento metalúrgico de mini implantes Ti-6A1-4V como anclaje temporal en aplicaciones de ortodoncia [Metallurgical behavior of Ti-6A1-4V mini implants as temporary anchorage in orthodontic applications.]. Ingeniería Investigación y Tecnología [Internet]. 2014 [cited 2022 Apr 2];15(1):21–8.
25. Dellán A, Villarroel Dorrego M, Hernández-Andara A. Patología Bucal Maxilofacial Profesor O, Venezuela de. Aplicación de las unidades hounsfield en tomografía computarizada como herramienta diagnóstica de las lesiones intra - oseas del complejo maxilo - mandibular: estudio clínico de diagnóstico [Oral Maxillofacial Pathology Professor O, Venezuela de. Application of hounsfield units in computed tomography as a diagnostic tool for intra-osseous lesions of the maxillo-jaw complex: a clinical diagnostic study.]. Rev Odontol Univ Cid São Paulo. 2015;27(2):100–11.
26. Woods PW, Buschang PH, Owens SE, Rossouw PE, Opperman LA. The effect of force, timing, and location on bone-to-implant contact of miniscrew implants. European Journal of Orthodontics. 2009;31(3):232–40.
27. Sosa Suarez B. Evaluación de la densidad ósea maxilar y mandibular con unidades hounsfield en tomografías cone beam del centro radiológico explora cusco 2018-2019 [Evaluation of maxillary and mandibular bone density with hounsfield units in cone beam tomography at the explora cusco radiological center 2018-2019]. 2019. https://hdl.handle.net/20.500.12557/3894
28. Wu TY, Kuang SH, Wu CH. Factors associated with the stability of mini-implants for orthodontic anchorage: a study of 414 samples in Taiwan. Journal of Oral and Maxillofacial Surgery. 2009;67(8):1595–9.
29. López-Quiles, Ortega J*, Madrigal R*, Meniz C*, Cristina. Densitometric analysis of the jawbones of toothless patients using dual energy X-ray absorptiometry (DXA). Vol. 7, cient. dent. 2010.
30. Ramos Montiel. Ronald, Muñoz V, Guerra Y, Ramírez D. Medición de la cortical ósea vestíbulo-palatino en pacientes braquifaciales y dolicofaciales en tomografía cone beam [Measurement of the vestibulo-palatine bone cortex in brachyfacial and dolichofacial patients in cone beam tomography]. Revista Científica Mundo de la Investigación y Conocimiento. 2019;3(2):5–6.
2022 por los autores. Este artículo es de acceso abierto y distribuido según los términos y condiciones de la licencia Creative Commons Atribución-NoComercial-CompartirIgual 4.0 Internacional (CC BY-NC-SA 4.0) (https://creativecommons.org/licenses/by-nc-sa/4.0/).