http://dx.doi.org/10.35381/s.v.v6i12.1959

 

Trauma esofágico como complicación del uso de prótesis dentales en un adulto mayor

 

Esophageal trauma as a complication of the use of dental prostheses in an elderly adult

 

 

 

 

 

 

 

María Teresa Pulgar-Guariato

mariapulgar123@gmail.com

Universidad Nacional Experimental Francisco de Miranda, Santa Ana de Coro, Miranda

Venezuela

https://orcid.org/0000-0001-6856-7474

 

 

 

 

Recepción: 01 de abril 2022

Revisado: 23 de mayo 2022

Aprobación: 15 de junio 2022

Publicación: 01 de julio 2022

 

 

 

 

 

 

 

 

 

RESUMEN

Objetivo: Dar a conocer los riesgos que conlleva el uso de prótesis dentales deterioradas en adultos mayores, ante la amenaza de ser deglutidas y los daños esofágicos asociados. Método: Reporte de caso. Discusión: En la investigación realizada se determinó que la perforación esofágica es una complicación compleja, donde se debe establecer un diagnóstico precoz y tratamiento oportuno como lo señalan las investigaciones citadas por los autores. Conclusiones: El diagnóstico precoz y la aplicación de protocolos de atención médica, es necesario para reducir las complicaciones que derivan de las perforaciones esofágicas y disminuir la morbimortalidad.

 

Descriptores: Enfermedades del esófago; envejecimiento; absceso. (Tomado de DeCS).

 

 

ABSTRACT

Objective: To make known the risks involved in the use of deteriorated dental prostheses in older adults, in view of the threat of swallowing and the associated esophageal damage. Method: Case report. Discussion: In the research conducted, it was determined that esophageal perforation is a complex complication, where early diagnosis and timely treatment should be established as indicated by the research cited by the authors. Conclusions: Early diagnosis and the application of medical care protocols is necessary to reduce the complications derived from esophageal perforations and decrease morbimortality.

 

Descriptors: Esophageal diseases; aging; abscess. (Taken from DeCS).

 

 

 

 

 

 

 

 

INTRODUCCIÓN

A nivel global, la población mayor de 65 años crece a un ritmo más rápido que el resto de segmentos poblacionales. El envejecimiento constituye un proceso biológico donde ocurre una serie de cambios estructurales y funcionales que aparecen con el paso del tiempo, no escapan de ello los cambios originados en la cavidad bucal 1. La pérdida parcial o total de las piezas dentarias, ocasiona el uso de elementos artificiales destinados a restaurar la anatomía de una o varias piezas dentarias, y que ellas pueden ser removibles o fijas. El mal uso y falta de mantenimiento de las prótesis dentales puede conllevar a desprendimiento de las mismas, lo que pudiera ocasionar graves lesiones si es tragada por la persona.

Al aumentar la edad y como consecuencias de las sucesivas perdidas dentarias, aumenta el número de personas que requieren ser habilitadas protésicamente. Los dientes inferiores son los últimos que se pierden, por eso hay supremacía en cuanto al desdentamiento superior. En una investigación realizada por portadores de prótesis en Holguín también predominaron las prótesis totales superiores sobre las inferiores similares a lo encontrado en estudios epidemiológico de Colombia 2, 3 4.

Cuando se analiza las visitas periódicas a los odontólogos, se aprecian cifras muy bajas de pacientes portadores de prótesis que asisten con periodicidad al odontólogo 5, 6. Esto puede estar asociado con la creencia errónea de que con la colocación de las prótesis se ha concluido el trabajo y muchas veces no acuden al odontólogo, la misma necesita ser reparada o ante el dolor o lesión evidente que afecta el bienestar del individuo 7.

Según lo descrito en un trabajo realizado por 8, resulta muy frecuente, para los especialistas en otorrinolaringología, la atención de pacientes que presentan algún cuerpo extraño en el esófago. En muchos casos los afectados suelen tener edades avanzadas, debido a la ausencia de dentición y el uso de prótesis dentales que imposibilitan detectar la presencia de cuerpo extraño en sus alimentos.

La hemorragia, penetración, perforación, mediastinitis y piotorax son complicaciones que pueden desarrollarse. La gravedad de la perforación está determinada por la contaminación del mediastino con contenido gastroduodenal, oral; y, si no se trata ocasiona la muerte 9. En la actualidad su incidencia ha aumentado, y su etiología ha cambiado siendo más frecuente la causa iatrogénica pues supone un 50%; esto es debido al aumento de las técnicas endoscópicas tanto diagnósticas como terapéuticas 10.

Un estudio describió la perforación esofágica causada por el desgarro durante el descenso de una prótesis dental, evidenciando perforaciones esofágicas múltiples, varias en el esófago cervical y una en el esófago torácico después de tragar la prótesis dental. Las perforaciones fueron resueltas mediante intervención quirúrgica en la región cervical y torácica. El enfisema mediastinal fue resuelto en la evolución post operatoria 11.

En los adultos mayores coexisten cambios y afecciones que predisponen a las complicaciones postquirúrgicas, por lo que suelen evolucionar desfavorablemente y fallecer entre 16 y 40% del total, generalmente por choque séptico y fallo de múltiples órganos 8.

 

Referencia teórica para el estudio:

Esófago. Para el anatomista es el segmento que conecta la faringe al estómago 12. Segmento muscular membranoso entre la faringe y el estómago en el tracto gastrointestinal superior 13.

Perforación esofágica. Es un orificio en el esófago. Los contenidos del esófago pueden pasar a la zona alrededor del pecho (mediastino) cuando hay una perforación esto a menudo ocasiona infección del mediastino (mediastinitis) 13.

Mediastinitis. Es una enfermedad poco frecuente que se caracteriza por la existencia de inflamación de tipo agudo o crónico en el mediastino, es un proceso grave que causa mortalidad. Inflamación del mediastino 13.

Absceso Fríos. Es una acumulación de pus localizada en la piel 14. Zona de infección que no muestra signos típicos de calor, rubor o eritema, e inflamación.

 

REPORTE DE CASO

Se trata de paciente femenina de 58 años de edad, ocupación oficios del hogar, con antecedentes de hipertensión arterial y diabetes mellitus, quien consulta a la sala de urgencia de la clínica Virgen de la Guadalupe, Coro, Estado Falcón, Venezuela; dos días después, por presentar posterior a ingesta de dosis de medicamento, ingestión simultanea de prótesis dental, acude a facultativo por presentar dolor, malestar general, fiebre, dificultad para deglutir alimentos sólidos y líquidos. Es ingresada en la clínica Virgen de Guadalupe y se le practica endoscopia digestiva superior, para realizar extracción de cuerpo extraño (prótesis dental completa), la cual es extraída con pinzas (Figura 1. Anexos), quedando recluida en hospitalización para antibioticoterapia y vigilancia. En días posteriores presenta aumento de volumen en región de cuello, dolor, dificultad más acentuada para la deglución de líquidos. Ameritando valoración por el servicio de cirugía general. Al examen físico se aprecia consciente, angustiada, estresada, con cara de dolor. Región izquierda del cuello con aumento de volumen de aproximadamente 5x6 cm, sin calor local, rubor, se aprecia ganglios palpables, dolor a la palpación de la tumoración. A nivel cardio- pulmonar no mostraba alteraciones de importancia. Resto del examen físico sin compromiso.

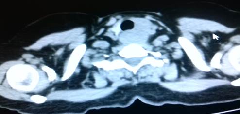
Pruebas de laboratorio: se aprecia leucocitosis en 12.000cel/mm3 y luego progresa a 24.500cel/mm3, polimorfo nuclear 90%, valores de glucosa en sangre elevada. Se le realiza rayos x de cuello (Figura 2. Anexos), y ecosonograma de región cervical, donde se describe una lesión ocupante de espacio alrededor de la tráquea hacia el lado izquierdo, de 4x 2 cm, heterogénea de bordes bien circunscritos. No presenta vascularidad al uso del Doppler. El lóbulo izquierdo del tiroides, muestra efecto de masa en su cara inferior. Concluye con una lesión ocupante de espacio en región traqueal izquierda sugerente de absceso frio. Se le realiza estudio de tomografía computarizada de cuello (Figura. 3, 4, 5. Anexos), y tórax, apreciando en región lateral izquierda del cuello, hiperdensidad paralela a la tráquea y glándula tiroidea, haciendo efecto de masa compresiva sobre las estructuras cercanas.

En la tomografía de tórax no se aprecian alteraciones. El diagnóstico emitido fue perforación esofágica por cuerpo extraño (prótesis dental) complicada con absceso en región cervical Izquierda. La conducta asumida fue realizar intervención quirúrgica: Cervicotomia Izquierda más drenaje, los hallazgos fueron 50cc de secreción purulenta aproximadamente, con escasa fetidez, tejido esofágico y sus alrededores friables, congestivos. Se pasa a hospitalización donde permanece con antibióticos endovenosos, curas diarias y egresa a los 6 días por mejoría clínica.

 

DISCUSIÓN

El trauma esofágico es considerado una de las más graves lesiones en el sistema digestivo. Depende del tiempo trascurrido entre el momento de la lesión y la instalación del tratamiento, así como también, la causa que originó el traumatismo (perforación), La mortalidad por perforación esofágica se encuentra entre un 19% a un 40%. Y las complicaciones un 49% fueron asociadas a las lesiones en esófago, siendo las más frecuentes infecciones en la herida 8%, fistulas (comunicación entre dos espacios) 5%, abscesos 4%, y la más temida de las complicaciones es la mediastinitis 4% 15.

En el caso reportado la paciente presentó una de las complicaciones menos frecuentes. La susceptibilidad que presentan los adultos mayores con el uso de prótesis dentales en estado de deterioro, hace necesario mejorar la su salud bucal e incentivar consultas periódicas a los odontólogos con la finalidad de chequear el estado de la prótesis y toda la cavidad oral 16. En el caso descrito la falta de mantenimiento de la prótesis dental, fue esencial para la deglución accidental de la misma, concordando con las investigaciones referenciadas.

En la investigación realizada se determinó que la perforación esofágica es una complicación compleja, donde se debe establecer un diagnóstico precoz y tratamiento oportuno como lo señalan las investigaciones citadas por los autores. Al sospechar de estos accidentes en los adultos mayores se hace sumamente importante, acudir lo más pronto posible a las emergencias de los centros de salud, para establecer un diagnóstico precoz y un tratamiento oportuno con el fin de prevenir las complicaciones que contribuyen al aumento de la tasa de mortalidad.

Una vez establecido el diagnóstico, el tratamiento dependerá del tiempo de evolución de la lesión, tipo de lesión y condición general del paciente, por ello se debe cumplir con los protocolos de atención de estos pacientes para así reducir las complicaciones.

 

CONCLUSIONES:

En la investigación realizada se determinó que los cambios relacionados con el envejecimiento son de gran importancia, como los desgastes de las piezas dentarias, atrofia de las encías, caídas de dientes y se debe estar atento a su aparición. La gran mayoría de los pacientes que acuden a la emergencia no van al odontólogo después de colocarse prótesis dentales. El diagnóstico precoz y la aplicación de protocolos de atención médica, es necesario para reducir las complicaciones que derivan de las perforaciones esofágicas y disminuir la morbimortalidad.

 

CONFLICTO DE INTERÉS

El autor declara que no tiene conflicto de interés en la publicación de este artículo.

 

FINANCIAMIENTO

Autofinanciado.

 

 

AGRADECIMIENTO

A todos los agentes sociales involucrados en el proceso investigativo.

 

REFERENCIAS

  1. An JY, Darveau R, Kaeberlein M. Oral health in geroscience: animal models and the aging oral cavity. Geroscience. 2018;40(1):1-10. doi:10.1007/s11357-017-0004-9

 

  1. Torrecilla-Venegas R, Castro-Gutiérrez I. Efectos del envejecimiento en la cavidad bucal [Effects of aging on the oral cavity] .16 de abril, 2020, 59(278): e819. Disponible en: http://www.rev16deabril.sld.cu/index.php/16_4/article/view/819

 

  1. Abreu de la Huerta dC, Sanjurjo Álvarez MdC, Fornaris Frías MF. Conocimientos y hábitos en pacientes portadores de prótesis dentales en relación con su uso y cuidados [Knowledge and habits in patients wearing dental prostheses in relation to their use and care. MEDISAN. 2000 April; IV(23-27). MEDISAN. 2000; IV(23-27).

 

  1. Munevar Torres AM, Rojas García J, Rojas García J, Marín Zuluaga DJ. Perfil epidemiológico bucal de los pacientes de 55 años y más que asisten a las clínicas del geronte a la facultad de odontología de la U.N. durante el primer semestre del año 2000 y cuál es la percepción que tienen estos pacientes sobre su propio estado [Oral epidemiological profile of patients 55 years of age and older attending the geronte clinics at the U.N. School of Dentistry during the first semester of the year 2000 and their perception of their own condition]. Rev. Fed. Odontol. Colomb . 2002 Febrero; IV(22).

 

  1. Mulet García M., Hidalgo Hidalgo S., Díaz Gómez S. Salud bucal en pacientes portadores de prótesis: Etapa diagnóstica [Oral health in patients with dentures: Diagnostic stage]. AMC [Internet]. 2006; 10(5): 34-43.

 

  1. Meneghim MC, Saliba NA. Condições de saúde bucal da população idosa de Piracicaba - SP:1998 [Oral health conditions of the elderly population of Piracicaba - SP:1998]. RPG Rev Pós-Grad 2000; 7:7-13. https://pesquisa.bvsalud.org/portal/resource/pt/lil-298251

 

 

  1. Abolmasov NN, Adaeva IA, Verkhovskiy AE, Anisov NV, Abolmasov IN. Adgezivnye sredstva dlia s''emnykh protezov. Mify i real'nost' (laboratornoe issledovanie) [Adhesive remedies for dentures. Myths and reality (laboratory research)]. Stomatologiia (Mosk). 2019;98(6):90-95. doi:10.17116/stomat20199806190

 

  1. Verdecia Rosés M, Rodríguez Y, Verdecia R. Perforación esofágica por cuerpo extraño en una anciana [Esophageal perforation due to foreign body in an elderly woman]. MEDISAN [Internet]. 2014; 18(7): 1018-1022.

 

  1. Granel-Villach L, Fortea-Sanchis C, Martínez-Ramos D, Paiva-Coronel GA, Queralt-Martín R, Villarín-Rodríguez A, et al. Síndrome de Boerhaave: revisión de nuestra experiencia en los últimos 16 años [Boerhaave syndrome: review of our experience over the last 16 years.]. Rev Gastroenterol Mex [Internet]. 2014;79(1):67–70.

 

  1. García-Moreno V, Maiocchi K, Gómez-Quiles L, et al. Treatment of esophageal perforation: A review of our experience at a tertiary referral hospital spanning the past 19 years. Rev Gastroenterol Mex (Engl Ed). 2021;S2255-534X(21)00129-8. doi:10.1016/j.rgmxen.2021.11.014

 

  1. Bolio GA, Medina CK, Luna MJ. Perforación esofágica por desgarro al descenso de una prótesis dental, reporte de un caso [Esophageal perforation due to tearing when lowering a dental prosthesis, a case report]. Acta Med. 2004;2(4):243-245.

 

  1. Whyte A, Boeddinghaus R. The maxillary sinus: physiology, development and imaging anatomy [published correction appears in Dentomaxillofac Radiol. 2019 Sep 10;:20190205c]. Dentomaxillofac Radiol. 2019;48(8):20190205. doi: 10.1259/dmfr.20190205

 

  1. Meyer AR, Goldenring JR. Injury, repair, inflammation and metaplasia in the stomach. J Physiol. 2018;596(17):3861-3867. doi:10.1113/JP275512

 

  1. Franco-Paredes C, Marcos LA, Henao-Martínez AF, et al. Cutaneous Mycobacterial Infections. Clin Microbiol Rev. 2018;32(1):e00069-18. doi:10.1128/CMR.00069-18

 

 

 

 

  1. Millán M, Parra M., Sánchez-Restrepo B, Caicedo Yaset, S, González-Hadad A., et al. El reparo primario: el control de daños en el trauma de esófago [The primary repair: damage control in esophageal trauma.]. Colomb. Med.  [Internet]. 2021; 52(2): e4094806. https://doi.org/10.25100/cm.v52i2.4806.

 

  1. Petti S. Elder neglect-Oral diseases and injuries. Oral Dis. 2018;24(6):891-899. doi:10.1111/odi.12797

 

2022 por el autor. Este artículo es de acceso abierto y distribuido según los términos y condiciones de la licencia Creative Commons Atribución-NoComercial-CompartirIgual 4.0 Internacional (CC BY-NC-SA 4.0) (https://creativecommons.org/licenses/by-nc-sa/4.0/).

 

 

 

ANEXOS

IMG_20181019_161225

Figura 1. Prótesis dental extraída del esófago a través de endoscopia digestiva superior. Fuente: Fotografía realizada por Dra. María Pulgar.

 

 

IMG_20181018_153522

Figura 2. Rayos x de región cervical en proyección lateral izquierda, no se evidencian hallazgos patológicos asociados a la lesión.

Fuente: Fotografía realizada por Dra. María Pulgar.

 

IMG_20181019_155138

 

Figura 3. Tomografía axial computarizada de región cervical. apreciando en región lateral izquierda del cuello, hiperdensidad paralela a la tráquea y glándula tiroidea, haciendo efecto de masa compresiva sobre las estructuras cercanas.

Fuente: Fotografía realizada por Dra. María Pulgar.

IMG_20181019_155434

Figura 4. Tomografía axial computarizada de región cervical. apreciando en región lateral izquierda del cuello, hiperdensidad paralela a la tráquea y glándula tiroidea, haciendo efecto de masa compresiva sobre las estructuras cercanas.

Fuente: Fotografía realizada por Dra. María Pulgar.

 

 

IMG_20181019_154930

Figura 5. Tomografía axial computarizada de región cervical. apreciando en región lateral izquierda del cuello, hiperdensidad paralela a la tráquea y glándula tiroidea, haciendo efecto de masa compresiva sobre las estructuras cercanas.

Fuente: Fotografía realizada por Dra. María Pulgar.