http://dx.doi.org/10.35381/s.v.v3i6.325

 

Restauración del diente endodonciado

Restoration of the endodonated tooth

 

 

Alba María Mendoza Castro

bitamendoza812@hotmail.com

Universidad Laica Eloy Alfaro de Manabí

Ecuador

https://orcid.org/0000-0002-8406-7151

 

Maholy Denisse Muñoz Macías

mademuma@hotmail.com

Universidad Laica Eloy Alfaro de Manabí

Ecuador

https://orcid.org/0000-0002-4757-594X

 

Marcy Pastora Molina Pinargote

marcymolina_p@hotmail.com

Universidad Laica Eloy Alfaro de Manabí

Ecuador

https://orcid.org/0000-0001-8131-3700

 

 

Recibido: 20 de abril de 2019

Aprobado: 20 de mayo de 2019

 

 

 

RESUMEN

La endodoncia es un tratamiento para reparar y salvar un diente gravemente dañado o infectado en vez de quitarlo. El procedimiento consiste en quitar la zona dañada del diente (la pulpa), limpiarlo y desinfectarlo, y después empastarlo y sellarlo. Las causas comunes que afectan a la pulpa: dientes agrietados, cavidades profundas, un tratamiento dental repetido o trauma. El nombre del tratamiento en inglés, "root canal" (endodoncia), viene de la limpieza de los canales dentro de la raíz del diente. El documento es un artículo de revisión de algunas técnicas actuales de la restauración de dientes endodonciados, con el usos de carillas.

 

Descriptores: Dientes; Endodoncia; Carillas; Restauración; Tecnología.

 

ABSTRACT

Endodontics is a treatment to repair and save a severely damaged or infected tooth instead of removing it. The procedure consists in removing the damaged area of ​​the tooth (the pulp), cleaning and disinfecting it, and then filling and sealing it. Common causes that affect the pulp: cracked teeth, deep cavities, repeated dental treatment or trauma. The name of the treatment in English, "root canal" (endodontics), comes from the cleaning of the channels inside the root of the tooth. The document is a review article of some current techniques for the restoration of endodontic teeth, with the use of veneers.

 

Descriptors: Teeth; Endodontics; Veneers; Restoration; Technology.

 

 

INTRODUCCIÓN

El tratamiento de endodoncia consiste en una serie de etapas que se llevan a cabo en varias visitas a la consulta, dependiendo de la situación. Estas etapas son: El endodoncista examina y realiza radiografías del diente, luego administra anestesia local en el diente afectado. Una grapa se coloca sobre el diente para aislarlo y mantenerlo libre de saliva. El endodoncista hace una apertura a través de la parte de atrás de un diente frontal o la corona de un molar o premolar para eliminar la pulpa enferma, llamada una pulpectomía. Luego, la cavidad pulpar y conductos radiculares son limpiados y moldeados para prepararlos para la restauración. El endodoncista rellena el conducto radicular con gutapercha.

Si necesita más de una visita, una restauración temporal se coloca en la abertura de la corona para proteger el diente entre las visitas al dentista. La restauración temporal se elimina y la cavidad pulpar, conducto radicular son permanentemente rellenados con gutapercha en cada uno de los canales y sellados en su lugar con cemento. A veces se coloca una pieza pequeña de metal o de plástico en el canal para el soporte estructural. En la etapa final, generalmente se coloca una corona sobre el diente para restaurar su aspecto y forma natural. Si el diente está roto, puede que se necesite una pieza para reconstruirlo antes de colocar una corona.

El artículo se refiere a una revisión de las técnicas más novedosa de endodoncia o restauración dental con carillas, considerando las etapas del procedimiento efectuado por los profesionales de la odontología, que van desde la planificación, el análisis y posterior aplicación de la solución encontrada a cada caso, con la consecuente fijación adhesiva de la carilla.

 

DESARROLLO

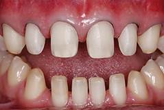
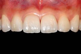
La gama de terapias de la odontología moderna ofrece una variedad de métodos para restaurar u optimizar la estética de los dientes en la región anterior con procedimientos mínimamente invasivos. Las carillas totalmente cerámicas junto con la técnica de unión adhesiva permiten, en casos apropiados, una terapia médica que ahorra sustancias y al mismo tiempo una estética, y pueden reemplazar la preparación de coronas completas en la región anterior en muchas situaciones (Figuras 1 y 2). La demarcación del área de aplicación para las restauraciones directas de compuesto, por otro lado, está dada por defectos de dientes anteriores muy grandes, situaciones exigentes de color y textura y por altas demandas estéticas de los pacientes.

https://media.zwp-online.info/images/1269521391_bild01-embed_image.jpg

https://media.zwp-online.info/images/1269521391_bild02-embed_image.jpg

Figura 1. Dientes frontales oscuros y poco estéticos en la mandíbula superior debido a depósitos de teatraciclina en el tejido duro del diente. Los dientes no tienen defectos cariados ni empastes.

Figura 2. Las carillas de cerámica cementadas adhesivamente mejoran significativamente la estética.

 

 

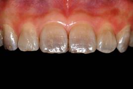
Las carillas permiten una estética sobresaliente con una guía de luz en la cerámica, que no se puede distinguir de la sustancia natural del diente duro (Fig. 3), al mismo tiempo que se maneja especialmente con cuidado la sustancia sana del diente duro. Para la recepción de una corona de metal-cerámica convencional o una corona estética hecha de cerámica totalmente, es necesario lijar circularmente en el área del escalón o ranura marginal de 1 mm y en la región del ecuador dental hasta 1,5 mm de sustancia dura del diente. 

La investigación muestra que hasta el 72% de la sustancia dura de una corona dental natural se elimina mediante disección para obtener el espesor de material necesario para la corona artificial (Fig. 4). Dependiendo del tipo de preparación, la eliminación de la sustancia para una carilla es solo entre 3% y 30%, en casos individuales favorables, se puede prescindir completamente de la posición correspondiente de los dientes afectados en el arco dental, incluso en la preparación (denominada vena "sin preparación"). 

https://media.zwp-online.info/images/1269521391_bild03-embed_image.jpg

https://media.zwp-online.info/images/1269521391_bild04-embed_image.jpg

Figura 3. Comparación de diferentes restauraciones dentales en luz transmitida: Vena de cerámica en el diente 11 (“V”), corona de circonia en el diente 21 (“K”), dientes estantes sin tratamiento

Figura 4. Preparación para una corona de cerámica completa con un paso circunferencial de 1 mm.

 

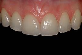
Las carillas finas tienen un espesor de capa de 0.3 mm a aproximadamente 0.5-0.7 mm (Fig. 5), en algunos casos hasta aproximadamente 1 mm. La preparación generalmente se lleva a cabo principalmente en el lado labial. La eliminación significativamente reducida de la sustancia del diente duro tiene ventajas significativas para el paciente: además de la protección de la sustancia sana del diente duro, el riesgo de problemas postoperatorios se reduce tanto como el riesgo de pérdida de vitalidad (a corto y largo plazo) del diente afectado debido a un trauma de preparación. Las carillas finas tienen un espesor de capa de 0.3 mm a aproximadamente 0.5-0.7 mm (Fig. 5), en algunos casos hasta aproximadamente 1 mm. La preparación generalmente se lleva a cabo principalmente en el lado labial. 

La eliminación significativamente reducida de la sustancia del diente duro tiene ventajas significativas para el paciente: además de la protección de la sustancia sana del diente duro, el riesgo de problemas postoperatorios se reduce tanto como el riesgo de pérdida de vitalidad (a corto y largo plazo) del diente afectado debido a un trauma de preparación. Las carillas finas tienen un espesor de capa de 0.3 mm a aproximadamente 0.5-0.7 mm (Fig. 5), en algunos casos hasta aproximadamente 1 mm. La preparación generalmente se lleva a cabo principalmente en el lado labial. La eliminación significativamente reducida de la sustancia del diente duro tiene ventajas significativas para el paciente: además de la protección de la sustancia sana del diente duro, el riesgo de problemas postoperatorios se reduce tanto como el riesgo de pérdida de vitalidad (a corto y largo plazo) del diente afectado debido a un trauma de preparación.

https://media.zwp-online.info/images/1269521391_bild05-embed_image.jpg

Figura 5. Carillas totalmente cerámicas para la restauración de dientes anteriores superiores. El espesor de la capa es de aproximadamente 0.7 mm

 

Según la última opinión de la Sociedad Alemana de Odontología, Cirugía Oral y Maxilofacial (2007), sobre la restauración dental con cerámica, las carillas de cerámicas son restauraciones definitivas científicamente reconocidas con un anclaje correspondiente en la literatura científica. Se pueden recomendar para uso práctico.

 

Indicación y planificación

La indicación para carillas puede hacerse por razones estéticas o médicas, es decir, por razones funcionales y de protección dental. En muchos casos, sin embargo, es posible mejorar la estética de una necesidad de tratamiento médico primario (Figs. 6 y 7):

https://media.zwp-online.info/images/1269521391_bild06-embed_image.jpg

https://media.zwp-online.info/images/1269521391_bild07-embed_image.jpg

Figura 6. Labios de un paciente antes de la restauración de los incisivos centrales en la mandíbula superior

Figura 7. Labios después de completar el tratamiento con carilla (diente 11), y una corona de cerámica completa (diente 21)

 

 

Indicaciones para vetas de cerámica.

Mejora de la estética:

-       Decoloración interna o modificación de un color de diente problemático 

-       Cambios fluoróticos 

-       Grandes rellenos compuestos estéticamente defectuosos 

-       Corrección de la forma del diente 

-       Mejora de la textura de la superficie 

-       Dientes anteriores displásicos 

-       Dientes anteriores hipoplásticos - Condición después de la fractura del diente 

Extensiones 

-       Corrección de la posición del diente 

-       Cierre de huecos (falta de dientes congénitamente) o diastemas simples o múltiples: Correcciones de rotación, inclinación y eje de los dientes. Correcciones de eje, correcciones funcionales

-       Protección del tejido duro del diente

-       Erosiones, abrasiones

Suministro de los defectos cariados correspondientes

 

Además de las indicaciones, también hay situaciones en las que el cuidado de las carillas es problemático o no está indicado:

-       Contraindicaciones para las venas cerámicas

Cantidad y calidad insuficientes del esmalte

-       Márgenes cervicales de las carillas no limitados al derretimiento o retención de fusión demasiado baja

-       Lesiones circulares cariosas en la transición a la encía

-       Preparaciones subgingivales profundas

-       Espacios muy amplios entre los dientes

-       Se necesita una extensión muy larga de los dientes

-       Pacientes con parafunción muy fuerte (bruxismo, crujido)

-       Defectos pequeños ("sobretratamiento")

-       Pacientes con higiene bucal inadecuada o actividad caries alta

 

Planificación y análisis estético

Todos los cuidados de las carillas se planifican cuidadosamente al comienzo de la terapia. Estos incluyen el análisis de la causa raíz de la decoloración y, cuando sea apropiado, el alivio previo de decoloraciones fuertes utilizando la terapia de blanqueamiento, así como la posibilidad de un tratamiento previo de ortodoncia para mejorar la posición del diente o la elevación primaria de la mordida en la región posterior con pérdida de altura vertical manifiesta. También se debe considerar cuidadosamente una corrección concomitante posiblemente necesaria de un curso irregular y no armonioso de la encía marginal por una intervención quirúrgica periodontal.

La realización del óptimo funcional y estético óptimo para cada paciente requiere una estrecha cooperación con el técnico dental especializado desde el principio en la planificación del tratamiento. Dentro del análisis estético detallado previo al tratamiento, se determina la distribución de los diferentes tonos de color y las áreas de dientes translúcidas / opacas en el área a restaurar, así como la estructura apropiada de la edad de las restauraciones con las características individuales correspondientes (por ejemplo, fisuras, manchas blancas) y el diseño correcto de las restauraciones, textura de la superficie. 

Se busca una posición y forma dental óptima y específica de las carillas para el paciente respectivo. Se recomienda encarecidamente la documentación de la situación inicial con la fotografía digital y los modelos de planificación articulada relacionados con el cráneo. En el caso de cambios importantes planificados, el análisis cuidadoso del modelo también es indispensable. La combinación de marcadores de cera, maquetas y profundidad es invaluable posteriormente en la implementación de la preparación y asegura un manejo económico y mínimamente invasivo de la sustancia del diente duro. 

Un encerado preoperatorio (Fig. 8-10) realizado en el laboratorio dental y la fabricación de una plantilla de diagnóstico (Fig. 11), generalmente por medio de una férula transparente de termoformado, proporcionan bases importantes para aumentar la previsibilidad del éxito del tratamiento y, por lo tanto, una mayor Para garantizar la seguridad de todas las partes involucradas (dentista, técnico dental, paciente). Para que el técnico cree el encerado idealmente, es útil especificar la preparación posterior del modelo de yeso en función de los modelos de planificación articulados. En última instancia, el dentista es responsable del diseño de la preparación y del alcance de la ablación del diente duro

https://media.zwp-online.info/images/1269521391_bild08-embed_image.jpg

https://media.zwp-online.info/images/1269521391_bild09-embed_image.jpg

Figura 8. Modelo de planificación para la fabricación de carilla en un paciente con múltiples diastemas

Figura 9. Encerado preparado preoperatoriamente para la planificación y visualización del tratamiento

https://media.zwp-online.info/images/1269521391_bild10-embed_image.jpg

https://media.zwp-online.info/images/1269521391_bild11-embed_image.jpg

Figura 10. Duplicación del encerado como base para la producción de una plantilla de diagnóstico

Figura 11. Plantilla de diagnóstico hecha de una lámina transparente y profunda

 

Con estas medidas preparatorias, la posición, la alineación, los contornos y los requisitos de espacio de las restauraciones definitivas posteriores se determinan desde un punto de vista funcional y estético en el sentido de una "planificación hacia atrás". Esto influye en la elección de los materiales, por ejemplo, carillas con capas individuales con dimensiones más pequeñas de las restauraciones o en la técnica de prensado, posiblemente reducido y modificado con cerámica de revestimiento, carillas hechas en dimensiones más grandes, como coronas anteriores.

 Por otro lado, la plantilla de diagnóstico se puede llenar con un compuesto temporal y, por lo tanto, la situación del encerado se puede transferir a una maqueta intraoral del paciente (Fig. 12). Esto ayuda Para visualizar el resultado del tratamiento del paciente y el potencial de cambio a través de las carillas antes del inicio de la preparación, lo que a menudo hace que sea más fácil para los pacientes inseguros decidir sobre las medidas de tratamiento planificadas. Por lo tanto, también puede utilizarse como una "ayuda de ventas". 

https://media.zwp-online.info/images/1269521391_bild12-embed_image.jpg

Figura 12. Con la plantilla de diagnóstico, los contornos del encerado se transfieren a la maqueta intraoral (con plástico temporal).

 

Además, la maqueta permite al profesional un procedimiento mínimamente diente duro necesaria para el material de restauración seleccionado respectivo está determinada por las dimensiones externas de la restauración posterior y no por la posición actual del diente. La eliminación se controla mediante el uso de marcadores de profundidad, que tienen en cuenta el contorno exterior de la maqueta en el tercio cervical, medio e incisal del diente. La preparación se realiza exclusivamente en los lugares necesarios y, por lo tanto, garantiza un manejo económico de la sustancia dental sana. Esto resulta en casos con cambios en las dimensiones del diente (forma, posición) una ventaja importante sobre la metodología, en la que la eliminación de sustancias se determina únicamente mediante el uso de diamantes de marcado de profundidad sin el uso adicional de la plantilla.

El procedimiento anterior es adecuado para medidas aditivas planificadas y cambios importantes en la posición y forma de los dientes. Si las dimensiones de la forma y posición actual del diente están en algunas posiciones fuera de los contornos exteriores del encerado, entonces las áreas correspondientes en la plantilla deben eliminarse para la visualización solo para el paciente. Además, la plantilla se utiliza para la producción de la restauración temporal directa. Para una carilla de un solo diente, el proceso de planificación completo descrito anteriormente generalmente no es necesario, ya que aquí los contornos exteriores de la restauración están determinados por la forma, el tamaño y la posición de los dientes adyacentes. El esfuerzo de planificación se reduce a los aspectos necesarios (Fig. 13-15).

https://media.zwp-online.info/images/1269521391_bild13-embed_image.jpg

https://media.zwp-online.info/images/1269521391_bild14-embed_image.jpg

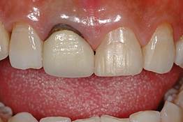
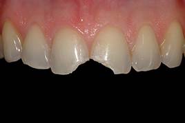
Figura 13. Paciente con fracturas accidentales en ambos incisivos centrales en la mandíbula superior

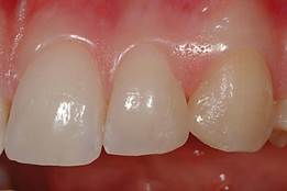
Figura 14.  Restauración con carilla de cerámica a pedido del paciente

 

https://media.zwp-online.info/images/1269521391_bild15-embed_image.jpg

 

 

Figura 15. Labios después del tratamiento

 

Se debe hacer una distinción entre el uso de carillas individuales del "Diseño de Sonrisa" o "Cambio de Sonrisa" completo. En este último, especialmente en América del Norte, procedimientos muy populares, generalmente la región anterior completa, a veces incluso extendida hasta la región posterior, recubierta con carillas y, por lo tanto, generalmente se logra un cambio significativo en la apariencia del paciente. Sin embargo, es importante mantener una apariencia en gran parte natural y no crear una "Sonrisa de Hollywood" bastante extraña en Europa Central o en Latinoamérica.

Para un óptimo de estética y función, una buena comunicación y cooperación con el técnico dental es un requisito previo esencial. El dentista también puede mostrar cambios menores al paciente directamente mediante un modelado aditivo intraoral temporal con materiales compuestos en los dientes no tratados y no preparados (maqueta intraoral) (Figs. 16 y 17). Debido a su tridimensionalidad, un encerado o maqueta real tiene un valor de información significativamente mayor que una maqueta virtual generada solo a través del procesamiento de imágenes digitales ("Imágenes por computadora") en el monitor de la computadora.

https://media.zwp-online.info/images/1269521391_bild16-embed_image.jpg

https://media.zwp-online.info/images/1269521391_bild17-embed_image.jpg

Figura 16. Situación inicial: Brecha en la mandíbula superior entre incisivo lateral y canino.

Figura 17. Maqueta completa. El dentista simula el tratamiento de la carilla directamente sobre el paciente utilizando un compuesto plástico

 

Preparación
En general, hay tres tipos diferentes de preparación de carillas. Además de la clásica reducción del esmalte puramente vestibular, que incluye el borde incisal en extensión oro-vestibular hasta aproximadamente la mitad ("venas de lentes de contacto") diferenciadas entre variantes con reducción incisal-horizontal adicional del borde incisal (etapa incisal) o incisal-horizontal adicional Reducción y bordes orales del filo (sobreenganche incisal). En las dos últimas variantes, la transición a las coronas de la corona anterior es fluida. Además, las llamadas venas de 360 ​​°, las carillas orales para la reconstrucción de las superficies de guía y las "adiciones" para el reemplazo de las áreas de los dientes se usan en la terapia restaurativa.

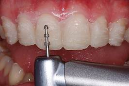
La superficie de referencia para determinar la eliminación del tejido duro dental está determinada por las dimensiones externas de la restauración posterior. Si la terapia tiene como objetivo lograr cambios importantes en la forma y posición de los dientes, se recomienda hacer una plantilla de diagnóstico (ver arriba). Si no se asocia ningún cambio en las dimensiones con el tratamiento, por ejemplo, solo una corrección de la morfología de la superficie o el color del diente, la ablación necesaria se puede determinar de inmediato con molinos especiales de diamante que marcan la profundidad (Fig. 18).

https://media.zwp-online.info/images/1269521391_bild18-embed_image.jpg

Figura 18. Muela especial para aplicar marcas de profundidad definidas con precisión

 

En algunos casos, se puede prescindir de una disección completa del diente, estos casos especiales son adecuados para preparar las llamadas venas "sin preparación". Estos son en su mayoría dientes sin caries, que están en una posición retruida en relación con sus vecinos, o dientes displásicos adecuados. La posibilidad de un procedimiento sin preparación se verifica mejor en la fase de planificación mediante un encerado. Al mismo tiempo, se debe tener cuidado de que tal suministro de carillas no produzca un nivel positivo en el margen gingival, que puede ser la fuente de acumulación de placa y respuestas inflamatorias del periodonto marginal.

A continuación, el procedimiento para la preparación de la carilla se describe con más detalle: después de la preparación de la ruta de las áreas de los dientes, que posiblemente excedan los contornos externos de la plantilla de diagnóstico, se verifica el ajuste sin tensión de la plantilla por vía intraoral. Si este aún no es el caso, la sustancia dental todavía está fuera del contorno exterior del suministro posterior y debe corregirse a los puntos defectuosos hasta que sea posible un posicionamiento completamente libre de estrés del riel de termoformado. Posteriormente, la plantilla de diagnóstico en el área de los dientes a tratar se llena con plástico temporal y se coloca correctamente sobre el arco dental correspondiente, transfiriendo así las dimensiones del encerado a la maqueta intraoral (Figura 12). 

Es ventajoso primero haga un punto de grabado en los dientes respectivos en el medio de la superficie labial y aplique un adhesivo para que la maqueta no se libere involuntariamente de las superficies del diente durante la preparación posterior. El paciente ahora tiene otra oportunidad para evaluar las dimensiones de las restauraciones posteriores.

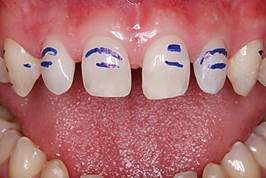
Después de aplicar ranuras horizontales profundas de 0.3-0.5 mm (en la maqueta o el esmalte labial) con los diamantes correspondientes que marcan la profundidad, se puede ver claramente las áreas donde la preparación está puramente dentro de la extensión labial de la maqueta está acostado, es decir, en estas áreas no es necesaria la eliminación de sustancias duras, o en aquellas áreas en las que el marcador de profundidad ha cortado completamente la maqueta y ha penetrado en el esmalte (Fig. 19). Posteriormente, se eliminan los restos de plástico y, para una mejor visualización de la posterior eliminación de material duro, la base de las marcas profundas en el esmalte se marca con una pluma impermeable (Fig. 20). 

https://media.zwp-online.info/images/1269521391_bild19-embed_image.jpg

https://media.zwp-online.info/images/1269521391_bild20-embed_image.jpg

Figura 19. Con el marcador de profundidad. La profundidad de preparación necesaria se transfiere a la maqueta intraoral.

Figura 20. Con una pluma impermeable, se ilustran las marcas de profundidad que perforan la maqueta. Esta profundidad debe lograrse mediante una mejor preparación.

 

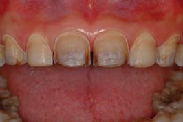
Por un lado, este procedimiento basado en el principio de "planificación hacia atrás" permite el manejo suave de la sustancia dental natural y, por otro lado, garantiza una eliminación correspondiente a la selección de material respectiva para garantizar la estabilidad de la restauración. La superficie vestibular del diente se reduce mientras se mantiene la forma anatómica a este nivel. No se recomienda un espesor de capa de chapa inferior a 0,3 mm, de lo contrario la restauración está en riesgo de rotura. En el caso de dientes oscuros, se recomienda una ablación labial adicional de 0.2 mm para enmascarar la decoloración lo suficiente (Figs. 21 y 22). 

https://media.zwp-online.info/images/1269521391_bild21-embed_image.jpg

https://media.zwp-online.info/images/1269521391_bild22-embed_image.jpg

Figura 21. Preparación de carillas para dientes descoloridos. En a mandíbula superior.

Figura 22.  Vista del incisal.

 

Una pre-pared de silicona realizada en el modelo de cera facilita el control de la geometría de preparación labial (Figura 23) y proporciona información importante sobre áreas, donde aún no se ha alcanzado el espesor de capa necesario. Una segmentación horizontal en forma de abanico de la llave de silicona permite.

https://media.zwp-online.info/images/1269521391_bild18-embed_image.jpg

Figura 23. Con la llave de silicona hecha en el encerado, se verifica la extracción de la preparación

 

Control separado de la preparación a diferentes alturas (incisal, medio, tercios cervicales) de la superficie de molienda gingival-incisal y permite una profundidad de preparación uniforme. Si más del 50% de la superficie labial pulida está en la dentina, el riesgo de fractura de la carilla aumenta significativamente. Por razones de estabilidad, la reducción incisal, que puede tener que prepararse desde un punto de vista funcional o estético, debe ser de aproximadamente 1-2 mm; un borde oral adicional (por ejemplo) de los dientes anteriores maxilares no debe descansar en el área de los contactos de oclusión estática.

El margen de preparación gingival tiene la forma de un surco y debe estar completamente limitado por fusión. En el área de los dientes anteriores superiores, el margen de preparación equigingival o max. 0.5 mm subgingival. La función de enmascaramiento del labio inferior permite, en principio, un curso de preparación por encima de la encía marginal, sin embargo, uno debe apuntar a una corrección del color de los dientes oscuros en la mandíbula inferior en lugar de un curso de borde equingival. Para proteger la encía marginal, se recomienda introducir un hilo de retracción delgado en el surco antes de comenzar la preparación.

La geometría de preparación aproximada está determinada por la posición del diente y posiblemente por la decoloración existente. En la posición regular del diente, la preparación se realiza solo hasta poco antes del contacto proximal, que permanece preservado en el esmalte natural. Aquí, el uso de sistemas de preparación oscilantes es adecuado para proteger los dientes vecinos. Si se debe rediseñar el espacio aproximado, por ejemplo, durante el cierre de diastema (Fig. 24), o si hay decoloración de los dientes, entonces la preparación se amplía por vía oral por medio del contacto proximal, para permitir un diseño proximal óptimo por parte del técnico dental o para enmascarar la decoloración al máximo.

https://media.zwp-online.info/images/1269521391_bild24-embed_image.jpg

Figura 24. Las preparaciones de chapa para cerrar diastemas requieren la inclusión de superficies proximales para dar al técnico la oportunidad de remodelar los espacios proximales.

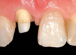
La carilla debe tener una posición final claramente definida, de lo contrario, pueden ocurrir problemas de posicionamiento durante la inserción. Este problema generalmente ocurre solo en la vena de la lente de contacto pura. Cualquier relleno existente debe estar cubierto lo más completamente posible por la preparación de la chapa y debe renovarse si es necesario. La preparación completa de la chapa se realiza mejor después de aplicar los marcadores de profundidad completos con diamantes de grano fino.

Para corregir estéticamente los dientes descoloridos con carillas, se recomienda profundizar la preparación en aproximadamente 0.2 mm, comenzando por las dimensiones anteriores, para dar al técnico la posibilidad de lograr un mejor efecto de enmascaramiento con una capa de cerámica más gruesa (higos 22). Al mismo tiempo, se puede utilizar una cerámica opaca para la estratificación en tales casos, con el riesgo de que la impresión general actúe artificialmente y actúe como un "azulejo". En general, los dientes muy descoloridos deberían tratarse mejor con una corona, por ejemplo, de cerámica de óxido de circonio (corona opaca para enmascarar y estratificar la capa natural superpuesta con cerámica de revestimiento translúcida) (fig. 25-27). Si el diente fuertemente descolorido se trata endodóncicamente, entonces la preparación para la corona en el área marginal, 1,0mm. 

https://media.zwp-online.info/images/1269521391_bild25-embed_image.jpg

https://media.zwp-online.info/images/1269521391_bild26-embed_image.jpg

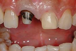
Figura 25. Pacientes con restauraciones n estéticas de los incisivos centrales en la mandíbula superior

Figura 26. Diente extremadamente decolorado (aquí diente 11), Se trata mejor con una corona completa para evotar que se muestre. El diente 21 fue preparado para una chapa.

 

https://media.zwp-online.info/images/1269521391_bild27-embed_image.jpg

 

 

Figura 27. La corona de óxido de circonio en el diente 11 y la carilla de cerámica en el diente 21 restauraron la función y la estética de los dientes

 

 

En este caso, puede buscarse una profundidad de preparación de aproximadamente 1,2 a 1,3 mm sin peligro para la pulpa. Esto le da al técnico dental la oportunidad de hacer una tapa de óxido de circonio suficientemente opaca de 0.5-0.6 mm de espesor y aún tener suficiente espacio para una carilla viable.

En los casos en que la preparación se limita solo al esmalte, generalmente es un tratamiento indoloro y la molienda se puede realizar sin anestesia. Inmediatamente después de la preparación, se toman impresiones de la mandíbula afectada y la mandíbula opuesta, que se pasan al laboratorio de tecnología dental para la fabricación del modelo y la fabricación de las carillas. Para varias carillas, siempre se recomienda registrar la relación de la mandíbula y registrarse con el cráneo. Para la fabricación de temporales, especialmente con carillas múltiples, la plantilla de diagnóstico se puede volver a utilizar. Esto tiene la gran ventaja de que el paciente recibe restauraciones temporales, por cuanto representan el resultado final en forma y posición.

 

Carillas en la región posterior

Si es necesario hacer conchas de recubrimiento bucal en los premolares o incluso hasta los primeros molares en la mandíbula superior (según el análisis estético: visibilidad de los dientes al hablar y reír), la preparación debe realizarse de forma análoga a los dientes anteriores (Figs. 28 y 29). El borde oclusal no debe estar en una parada céntrica o en el área de los tractos funcionales. Si no hay guía canina frontal, pero hay una guía grupal en la región posterior, es ventajoso extender el borde oclusal hacia la fisura central; Aquí la cúspide vestibular se reduce al menos 2 mm oclusalmente. En los dientes de la mandíbula inferior, por razones de estática y profilaxis de fracturas, no se deben hacer carillas, sino coronas de cerámica en las protuberancias de soporte bucal. 

https://media.zwp-online.info/images/1269521391_bild28-embed_image.jpg

https://media.zwp-online.info/images/1269521391_bild29-embed_image.jpg

Figura 28. Preparación para una carilla en un primer premolar

Figura 29.  Chapa de cerámica adhesiva en el primer premolar. Situación después de tres meses.


Fabricación
Existen varias posibilidades para la producción técnica de las carcasas de revestimiento cerámico en el laboratorio. Las chapas hechas enteramente de masas cerámicas sinterizadas sobre tocones refractarios tienen el mayor potencial estético ya que tienen la mejor profundidad de color. Sin embargo, la resistencia puede reducirse mediante la inclusión de microburbujas, por ejemplo: las carillas de cerámica prensada crecen completamente anatómicamente y luego se convierten en cerámica en el proceso de cera perdida. El uso de diferentes colores y diferentes en los espacios translúcidos junto con una pintura y esmalte superficial también permite una estética excelente con una resistencia relativamente alta. Otra posibilidad de Veneerherstellung consiste en presionar una concha reducida en escala labial. Es estéticamente individualizado. Las carillas CAD / CAM (p. Ej. CEREC) generalmente no satisfacen las altas exigencias estéticas que uno puede esperar de las carillas de cerámica. 

 

Fijación adhesiva

Las carillas son mucho más propensas a fracturarse que las coronas cerámicas completas debido a su diseño de filigrana antes de completar la fijación adhesiva. Alcanzan su resistencia final solo mediante la conexión por fricción con la sustancia del diente duro mediante el proceso de unión adhesiva.

Después de retirar los temporales y limpiar los dientes, el color del material compuesto de inserción se determina primero en los dientes aún húmedos, no secos. Para verificar el diseño de color y transparencia ("prueba estética"), las pastas de prueba solubles en agua (Fig. 30), que corresponden en su coloración al cemento compuesto curado, eliminan el aire en el espacio de cemento que aumenta debido al cambio en el comportamiento de refracción daría lugar a una impresión equivocada. 

https://media.zwp-online.info/images/1269521391_bild24-embed_image.jpg

Figura 30. Prueba estética de chapa de cerámica en los dientes 11 y 21 con pasta de prueba.

Se pueden lograr correcciones de color más pequeñas de la chapa mediante cementos compuestos de diferentes colores. Sin embargo, hay que tener en cuenta que el color de la chapa adhesiva está determinado por tres factores, que tienen una ponderación diferente:

- Color del muñón del diente rectificado, gran influencia en la cerámica translúcida, menor influencia en la cerámica opaca 

- Color de la cerámica de chapa, gran influencia en la cerámica translúcida, gran influencia en la cerámica opaca 

- Color del adhesivo compuesto, impacto más bajo, especialmente con cerámica opaca.

El bajo espesor de la capa del adhesivo compuesto en comparación con la cerámica de chapa generalmente no permite una corrección perfecta con una clara desviación de color de la cerámica de chapa del color deseado, solo se pueden optimizar pequeñas desviaciones. Por otro lado, existe el peligro de arruinar estéticamente un revestimiento que se hace perfectamente en el laboratorio en términos de color y translucidez al elegir el compuesto de inserción incorrecto (por ejemplo, colores blanco opaco). La "prueba estética" con pastas de prueba en el momento adecuado es, por lo tanto, un requisito previo indispensable para completar con éxito el tratamiento. Para evitar la deshidratación de los dientes y el brillo reversible asociado, esta comprobación debe realizarse, por supuesto, antes de aplicar el dique de goma.

Después de volver a limpiar los dientes y las carillas de la pasta de prueba, se verifica el ajuste de cada carilla. Para carillas múltiples, se realiza una prueba común de todas las carillas para verificar la situación de contacto aproximado y determinar una secuencia de inserción. Después del secado, tanto las carillas (Fig. 31 y 32) como las superficies de los dientes se preparan de acuerdo con las reglas de la técnica adhesiva y luego las carillas se fijan con un adhesivo compuesto de baja viscosidad. 

https://media.zwp-online.info/images/1269521391_bild31-embed_image.jpg

https://media.zwp-online.info/images/1269521391_bild32-embed_image.jpg

Figura 31. Grabado de una chapa con ácido fluorhídrico y posterior pulverización cuidadosa

Figura 32.  Pretratamiento de la pasta seca con silano.

 

Las carillas finas permiten el uso de un adhesivo compuesto puramente fotopolimerizable cuando se utiliza una luz de fotocurado de alta intensidad. Solo al unirse con los dientes, las carillas finas obtienen su máxima resistencia (conexión positiva) (Fig. 33 y 34).

https://media.zwp-online.info/images/1269521391_bild33-embed_image.jpg

https://media.zwp-online.info/images/1269521391_bild34-embed_image.jpg

Figura 33. Paciente joven con múltiples diastemas en dientes sin caries y sin relleno

Figura 34.  Con la chapa de cerámica unida adhesivamente se podría lograr una mejora significativa en la estética de una manera mínimamente invasiva.


CONCLUSIONES

Las carillas de cerámica sin metal han alcanzado un estándar muy alto de calidad y se han convertido en una herramienta terapéutica indispensable para la odontología conservadora y protésica moderna. Una excelente estética y, en contraste con las coronas completas, una eliminación significativamente menor del tejido duro del diente caracteriza esta forma de terapia. Los datos de los estudios clínicos muestran excelentes datos de supervivencia clínica si se da una indicación correcta al comienzo del tratamiento y se utiliza una preparación precisa y una técnica de fijación adecuada además de la fabricación dental correcta.

 

REFERENCIAS CONSULTADAS

 

1.    Schenk, H.  (2013). Tecnología dental. Munich.

 

2.    Sociedad Alemana de Odontología, Cirugía Oral y Maxilofacial (2007). Sellado de fisuras y hoyuelos. Documento online. Recuperado de   https://www.dgzmk.de/zahnaerzte/wissenschaft-forschung/stellungnahmen/archiv/details/document/fissuren-und-gruebchenversiegelung.html

 

 

 

 

REFERENCES CONSULTED

 

1.    Schenk, H. (2013). Dental technology Munich.

 

2.    German Society of Dentistry, Oral and Maxillofacial Surgery (2007). Sealing cracks and dimples. Online document Recovered from https://www.dgzmk.de/zahnaerzte/wissenschaft-forschung/stellungnahmen/archiv/details/document/fissuren-und-gruebchenversiegelung.html

 

 

 

 

©2019 por los autores. Este artículo es de acceso abierto y distribuido según los términos y condiciones de la licencia Creative Commons Atribución-NoComercial-CompartirIgual 4.0 Internacional (CC BY-NC-SA 4.0) (https://creativecommons.org/licenses/by-nc-sa/4.0/).