DOI: http://dx.doi.org/10.35381/s.v.v3i6.333
Rehabilitación con prótesis fija
Rehabilitation with fixed prosthesis
Sandra Sandoval Pedauga
Universidad Laica Eloy Alfaro de Manabí
Ecuador
https://orcid.org/0000-0001-9334-4299
Miguel Carrasco Sierra
Universidad Laica Eloy Alfaro de Manabí
Ecuador
https://orcid.org/0000-0002-9336-4211
Génesis Jesús Reyes Pico
genesis_reyes24@hotmail.com
Universidad Laica Eloy Alfaro de Manabí
Ecuador
https://orcid.org/0000-0003-0895-0687
Recibido: 15 de mayo de 2019
Aprobado: 10 de junio de 2019
RESUMEN
Los dientes son estructuras importantes en la cavidad oral con muchas funciones asociadas. La pérdida de dientes puede ser inevitable debido a varias razones. El reemplazo de los dientes debe hacerse para restaurar las funciones como masticación, fonética y estética. En la actualidad, hay muchas opciones de tratamiento disponibles, entre ellas el tratamiento con implantes había evolucionado como una opción importante. Entre todos los tipos de implantes, los implantes endóseos habían ganado más importancia que cualquier otro tipo de implantes. En el presente artículo se presenta el informe de un caso, el paciente que llevaba una dentadura postiza convencional fue tratado con éxito con una prótesis con implante.
Descriptores: Pilares; Prótesis fija; Implantes; Osteointegración; Sitio de osteotomía.
ABSTRACT
Teeth are important structures in the oral cavity with many associated functions. Loss of teeth may be inevitable due to several reasons. The replacement of the teeth should be done to restore functions such as chewing, phonetics and aesthetics. Currently, there are many treatment options available, including implant treatment had evolved as an important option. Among all types of implants, endosteal implants had gained more importance than any other type of implant. In this article, a case report is presented, the patient wearing a conventional denture was successfully treated with an implant prosthesis.
Descriptors: Pillars; Fixed prostheses; Implants; Osseointegration; Osteotomy site.
INTRODUCCIÓN
La pérdida de dientes se acompaña de muchas secuelas estéticas y biomecánicas adversas. Esta situación es peor cuando se pierde todo el soporte del ligamento periodontal y el paciente se vuelve completamente edéntulo. Consecuentemente, los dentistas se hicieron profundamente conscientes de la relación dependiente del tiempo entre la forma y los cambios funcionales en el sistema masticatorio. Tal conocimiento ayudó a nutrir el desarrollo de nuevos materiales y conocimiento sobre las relaciones entre estética, oclusión y personalidades de los pacientes (George, 2004). Aunque a menudo se logró un resultado favorable del tratamiento, pocos pacientes no pudieron tolerar las dentaduras postizas completas removibles. Este fracaso no es una acusación de las habilidades profesionales de uno, ni necesariamente una condena de la respuesta del paciente a los esfuerzos del clínico.
Debe aceptarse que muchos
pacientes que usan dentaduras postizas completas experimentarán dificultades
considerables para adaptarse a sus prótesis, mientras que pocos pacientes
pueden adaptarse durante varios años pero se vuelven desadaptativos como
resultado de cambios de tejido regresivos y otros pueden adaptarse
perfectamente, pero lamentan que esto Es su única opción de
tratamiento. Algunos pacientes simplemente no pueden usar dentaduras
postizas, y su calidad de vida se ve profundamente afectada por su
situación. La experiencia clínica y algunas investigaciones han confirmado
que hay contribuciones fisiológicas y psicológicas a la mala adaptación. El
tratamiento para estos pacientes generalmente implica esfuerzos considerables
tanto de variedad técnica clínica como de variedad emocional de apoyo.
El objetivo ideal de la odontología moderna es
restaurar al paciente a un contorno, función, comodidad, estética, habla y
salud normales. La implantología dental tiene la capacidad de lograr este
objetivo ideal independientemente de la atrofia, enfermedad o lesión del
sistema estomatognático. Como resultado de la investigación continua,
herramientas de diagnóstico, planificación del tratamiento, diseños de
implantes, materiales y técnicas; El éxito predecible es ahora una
realidad para la rehabilitación de muchas situaciones clínicas desafiantes.
La osteointegración exitosa permite al dentista y al paciente desdentado considerar una de las dos alternativas a las prótesis completas tradicionales, como la prótesis fija o sobredentadura soportada por implante. La prótesis fija soportada por implante es una cura ideal para pacientes inadaptados (George, 2004).
La decisión de tratar un arco edéntulo con una prótesis fija soportada por implante según George, (2004), está influenciada por cinco consideraciones cruciales.
- Número de pilares de implantes.
- Localización de implantes.
- Calidad de los sitios anfitriones.
- Cantidad de los sitios óseos del huésped o la cantidad de reducción de cresta residual.
- Cantidad de actividad circun-oral o generosidad de pacientes línea de sonrisa.
Prostodoncia fija
La prostodoncia fija tiene que ver con la restauración de los dientes utilizando restauraciones que se fijan en la boca del paciente. Por lo general, se hacen en un laboratorio después de tomar impresiones (moldes) para que el técnico trabaje con ellas. También se conocen como 'restauraciones indirectas'.
Las restauraciones indirectas se pueden usar para restaurar y reparar dientes individuales o múltiples, y se pueden usar para restaurar espacios relativamente pequeños entre los dientes. Las restauraciones indirectas son relativamente fuertes en comparación con los rellenos que se pueden colocar en el lado de la silla. A menudo, las restauraciones indirectas se pueden hacer para que se vean mejor (estética superior). Es difícil decir cuánto durarán las restauraciones fijas. Si se planifican, ejecutan y mantienen correctamente, podrían durar hasta 10-12 años, y tal vez más. Los principales tipos de restauración indirecta se muestran a continuación:
Corona: Las coronas a menudo se denominan 'gorras'. Cubren las partes restantes del diente natural cuando se pierde una gran cantidad de estructura. Como tal, proporcionan lo que se conoce como 'cobertura total'. Las coronas se pueden construir con muchos materiales diferentes, desde una corona de oro totalmente metálica hasta una corona de cerámica de alta resistencia. El tipo de corona depende de la cantidad de diente restante, el tipo de diente y la preferencia del paciente.
Puente: Se hacen puentes para restaurar los espacios entre los dientes naturales. Se pueden mantener en su lugar mediante un diente adyacente coronado, o se pueden pegar en el diente adyacente mediante un ala de metal, con un adhesivo especial. A veces, los puentes se mantienen en su lugar a ambos lados del espacio (convencional), a veces solo en un lado (voladizo); depende del tamaño de la brecha y de cómo funcionan los dientes. Los puentes pueden verse muy bien, pero a veces los puentes que están pegados con un ala de metal oscurecen un poco el diente adyacente. Sin embargo, son mucho más conservadores de la estructura dental que si el diente adyacente estuviera coronado para sostener el puente.
Embutido: Una opción más conservadora para una corona es la incrustación. Es posible proporcionar una incrustación si falta una cantidad relativamente pequeña de tejido dental dentro de los confines de las cúspides de los dientes. La incrustación puede estar hecha de metales, resinas o cerámicas.
Onlay: Una incrustación es similar a una incrustación, pero a menudo cubre las cúspides de un diente. Son particularmente útiles si el diente necesita ser fortalecido o reforzado. También se pueden usar para hacer que el diente sea más largo / más alto, lo cual es útil si se vuelve a construir una dentición desgastada.
Chapa: Las carillas son una pieza relativamente delgada de cerámica o resina que se pega a la superficie de un diente. Se pueden usar para restaurar dientes dañados, dientes rotados o para mejorar la estética. Por lo general, se requiere una cantidad de preparación dental para que la carilla se "asiente", pero las técnicas modernas permiten hacer carillas que se adhieren directamente a la superficie del diente, ¡como si fueran uñas postizas.
Implantes dentales
Los implantes dentales se colocan en el hueso de la mandíbula para sostener un tramo de dientes único o múltiple. Consisten en un tornillo de titanio que tiene características de superficie especiales que le permiten ser aceptado por el cuerpo y crecer en unión con el hueso circundante. Si la colocación del implante es exitosa, no se puede quitar fácilmente. Por lo tanto, la planificación involucrada en el tratamiento de implantes debe ser integral y es la piedra angular de una odontología de implantes exitosa.
Los dentistas en la práctica general a menudo requerirán calificaciones adicionales de su grado BDS básico para colocar implantes, pero no para restaurarlos. Además de colocar coronas y puentes sobre los implantes, también se pueden utilizar para retener prótesis completas y parciales y otras prótesis maxilofaciales.
Los implantes no están disponibles habitualmente en el NHS en la práctica general, y existen criterios y pautas estrictos para su uso en entornos hospitalarios. Si usted es elegible para un implante o no, dependerá de una evaluación exhaustiva por parte de un consultor del NHS. Los implantes se colocan a través de cursos privados de tratamiento en numerosas prácticas en todo el país.
Prostodoncia Maxilofacial
La prostodoncia maxilofacial se ocupa del manejo prostodóntico de pacientes que presentan problemas congénitos o adquiridos en la región maxilofacial. Los prostodoncistas maxilofaciales trabajan como parte de un equipo multidisciplinario y generalmente son consultores (Reino Unido) en centros de cáncer de cabeza y cuello. Su papel implica la fabricación de prótesis especializadas, como los obturadores maxilares, que son dentaduras postizas especializadas removibles que tapan defectos en la mandíbula superior causados por la extirpación de tumores o están presentes desde el nacimiento debido al paladar hendido. También están involucrados en el reemplazo de dientes faltantes y estructuras faciales como ojos, oídos y narices.
Los prostodoncistas maxilofaciales a menudo usan implantes osteointegrados para retener partes del aparato. El tratamiento es multidisciplinario, involucrando cirujanos orales y maxilofaciales, cirujanos plásticos, cirujanos de oído, nariz y garganta, oncólogos, logopedas, terapeutas ocupacionales y fisioterapeutas.
Prótesis fija intermedia
Una prótesis fija provisional incluye una corona temporal y una dentadura postiza parcial fija (DPF). Es esencial en el tratamiento de prostodoncia fija de manera que proporcione una cobertura provisional para los dientes desde el momento de la preparación inicial hasta el parto y la colocación de la prótesis definitiva. De acuerdo con el Glosario de Términos Prostodónticos (GTP, 2005), una prótesis provisional se define como "una prótesis dental fija o extraíble, o prótesis maxilofacial, diseñada para mejorar la estética, la estabilización y / o la función durante un período de tiempo limitado, después del cual debe ser reemplazado por una prótesis dental o maxilofacial definitiva. A menudo, estas prótesis se utilizan para ayudar a determinar la efectividad terapéutica de un plan de tratamiento específico o la forma y función de la prótesis definitiva planificada " (Glosario de Términos Prostodónticos, 2005).
Requisitos
Los requisitos de una prótesis provisional son similares a los de la definitiva, aunque los atributos de longevidad y color pueden no ser tan estrictos (Skurow y Nevins, 1988). Pueden clasificarse como biológicos, mecánicos y estéticos y, además, pueden proporcionar un diagnóstico potencial.
Requerimientos biológicos
Es esencial que una prótesis provisional proteja la pulpa y los tejidos periodontales.
Protección Pulpar
Si bien es inevitable que ocurra un cierto grado de trauma pulpar durante la preparación del diente, debido al corte de los túbulos dentinarios, la prótesis provisional debe poder sellar y aislar la superficie dental preparada, evitando así la sensibilidad y la irritación de la pulpa. La adaptación interna y la integridad marginal de la prótesis provisional, y el agente de fijación provisional ayudan a proteger la pulpa sana de la microfiltración de bacterias, así como de la irritación química y térmica. Para los dientes que han sido tratados endodónticamente, la prótesis provisional debe mantener el sello biológico y evitar la microfiltración coronal (Fox y Gutteridge, 1997)
Salud periodontal
Para mantener una buena salud gingival y facilitar la eliminación de la placa, la prótesis fija provisional debe proporcionar integridad marginal, contornos gingivales y perfiles de emergencia adecuados, y una superficie lisa y altamente pulida. La irritación gingival y el aumento de la retención de la placa, que provocan inflamación y la posterior recesión de la encía marginal (Waerhaug, 1953; Donaldson, 1974), pueden ser el resultado de contornos gingivales demasiado extendidos y contorneados. Los perfiles de emergencia inadecuados y los contornos proximales pueden tener efectos adversos en la forma de papila interdental. Además, la salud y los contornos estéticos de los tejidos gingivales que recubren la cresta edéntula pueden verse en peligro si la forma póntica incide en los tejidos blandos. Esto puede detectarse inicialmente como blanqueamiento de tejido, pero si no se corrige, puede desarrollarse una inflamación localizada o necrosis.
Estabilidad oclusal y posición del diente
La prótesis fija provisional debe establecer o mantener óptimos contactos proximales y oclusales. Al lograr estos contactos, se mantendrán las posiciones de los dientes preparados y, cuando corresponda, las de los dientes opuestos, y se estabilizarán las relaciones entre los arcos y dentro del arco. Se evitará la deriva mesial o distal y la supra erupción. Esto es especialmente crucial en el tiempo que transcurre entre el procedimiento de impresión final y la colocación de la prótesis definitiva.
Prevención de la fractura del esmalte
En situaciones donde se ha planificado un diseño de cobertura parcial, la prótesis provisional debe proteger los dientes que se han debilitado como resultado de la preparación. Este sería el caso en el que el margen de la preparación se haya colocado cerca de la superficie oclusal del diente que podría dañarse durante la masticación. Una vez que se ha realizado la impresión final, cualquier astillamiento del esmalte antes de la colocación de la prótesis definitiva resultaría en costosos remakes (Gegauff y Holloway, 2006).
Requerimientos Mecánicos
Las prótesis fijas provisionales deben ser capaces de resistir las fuerzas funcionales durante la masticación sin fractura ni desplazamiento.
Función
La fractura de una prótesis fija provisional es más probable que la de la definitiva, ya que la resistencia del material intermedio, por ejemplo, resina de poli (metacrilato de metilo) (PMMA), es aproximadamente una vigésima parte de la de las aleaciones metal-cerámica (Gegauff y Holloway, 2006; Phillips, 1982). Sin embargo, suponiendo que el diente se haya reducido adecuadamente, la rotura de una corona provisional de cobertura total generalmente no es un problema.
Sin embargo, existen al menos dos situaciones en las que puede producirse la fractura de una prótesis fija provisional: un diseño de cobertura parcial y una FPD provisional. Dado que la restauración provisional en un diseño de cobertura parcial no rodea completamente el diente, lo que debilita la provisional, es más probable que se produzca una fractura de la prótesis provisional. En el caso de un FPD interino, es con frecuencia en los sitios donde los dientes pilares están conectados a los pónticos, es decir, los conectores, que son los sitios de falla (Gegauff y Holloway, 2006; El-Ebrashi et al., 1970). Para minimizar el riesgo de falla, el Los conectores a menudo se contornean deliberadamente en comparación con los de la prótesis definitiva. De esta manera, no solo se logra una mayor resistencia al reducir la profundidad y la nitidez de las troneras, sino que también se aumenta el área de la sección transversal de los conectores, al tiempo que se reduce la concentración de tensión asociada con los ángulos internos de la línea del moldeador (Gegauff y Holloway, 2006). Debe mantenerse Hay que tener en cuenta que la extensión del sobre-contorno en las regiones anteriores está limitada por los requisitos estéticos. Aunque la estética es menos restrictiva en el área posterior, la prótesis no debe contornearse demasiado cerca de la encía en la medida en que se ponga en peligro la salud periodontal.
En algunas situaciones, una resina procesada por calor o una prótesis fija provisional de metal fundido puede estar justificada. Estos incluyen pacientes que se someten a un tratamiento protésico fijo complejo durante un período prolongado de tiempo; aquellos que requieren una FPD posterior de larga duración; aquellos que no pueden evitar fuerzas excesivas sobre la prótesis; aquellos con una fuerza muscular masticatoria superior a la media; y aquellos que se encuentran con un historial de roturas frecuentes (Gegauff y Holloway, 2006).
Desplazamiento
Para evitar la irritación de la pulpa o el movimiento de los dientes, una prótesis fija provisional que se haya quitado o roto inadvertidamente, se debe reemplazar o volver a colocar lo antes posible. Cuando hay espacio excesivo entre el diente / dientes y la prótesis provisional, no es apropiado confiar solo en la fuerza del agente de fijación para retener la prótesis, ya que los cementos provisionales tienen una resistencia menor que el cemento de fijación regular. La mejor prevención del desplazamiento es la preparación adecuada de los dientes y una prótesis provisional con una superficie interna muy adaptada.
Remoción para Reutilización
Una prótesis fija provisional puede necesitar extraerse y reinsertarse con frecuencia en varios momentos durante el tratamiento hasta que se haya colocado la prótesis final. Como resultado, la prótesis provisional debe retirarse lo más atraumáticamente posible. En circunstancias habituales, no se rompe al retirarlo, siempre que el cemento sea lo suficientemente débil, que la prótesis provisional se haya fabricado bien y que no haya socavaciones en el diente / dientes preparados.
Requerimientos estéticos y potencial diagnóstico
Es importante tener en cuenta la estética cuando se requiere tratamiento para dientes anteriores y posiblemente premolares. Las opiniones del paciente deben tenerse en cuenta, ya que la prótesis tendrá un profundo efecto en la autoimagen del paciente. El color de la prótesis debe coincidir con el de los dientes adyacentes, al menos inicialmente. Sin embargo, algunas resinas se decoloran intraoralmente con el tiempo (Skurow y Nevins, 1988; Koumjian et al, 1991). Mediante la duplicación del encerado diagnóstico, la prótesis fija provisional ayuda a determinar si la terapia protésica propuesta satisface los requisitos funcionales y las expectativas estéticas del paciente. Si está adecuadamente adaptada y contorneada, una prótesis fija provisional precisa puede determinar si existe una forma adecuada de retención y resistencia para los requisitos funcionales de la prótesis final. También es una forma práctica de obtener retroalimentación específica para el diseño de la prótesis definitiva, incluidos los cambios en la longitud del diente, el contorno, la posición del borde incisal, el soporte de los labios, el plano incisal u oclusal y el color del diente (Skurow y Nevins, 1988, Gegauff y Holloway, 2006; Gratton y Aquilino, 2004; Federick , 1975; Waerhaug, 1980, Rieder, 1989).
Las prótesis provisionales pueden ser útiles cuando se requieren terapias complementarias, como en el caso de la terapia periodontal. Cuando se diseñan adecuadamente, pueden servir como guías excelentes para los procedimientos quirúrgicos periodontales, como el alargamiento de la corona, el aumento de crestas y los procedimientos de desarrollo del sitio póntico. Tras la extracción, pueden facilitar el acceso a los procedimientos de control periodontal y ayudar en el diagnóstico y la toma de decisiones de los dientes periodontalmente comprometidos (Skurow y Nevins, 1988; Yuodelis y Faucher, 1980).
Una vez que el dentista y el paciente estén mutuamente satisfechos con la prótesis fija provisional en términos de función, fonética y estética, se puede utilizar un duplicado de la provisional como guía para el técnico de laboratorio en la fabricación de la prótesis final. Como resultado, se puede lograr una prótesis definitiva más predecible, funcional, estética y satisfactoria (Skurow y Nevins, 1988; Gratton y Aquilino, 2004).
Materiales
La mayoría de los materiales utilizados en la fabricación de prótesis fijas provisionales, ya sean de una o varias unidades, están basados en resina. Consisten en pigmentos, monómeros, relleno y un iniciador. Se diferencian con respecto al método de polimerización, la composición de relleno y el tipo de monómero. Los pigmentos proporcionan la apariencia de dientes naturales, con una variedad de tonos. Los otros ingredientes contribuyen al manejo, el fraguado y las características finales de la prótesis provisional. Sin embargo, es la capacidad del monómero primario para convertirse en un polímero lo que permite que el material se convierta en un sólido que sea lo suficientemente fuerte como para soportar los estragos del entorno oral durante el período intermedio deseado (Gegauff y Holloway, 2006; Gratton y Aquilino, 2004).
Las resinas más comúnmente utilizadas incluyen las autopolimerizantes y las de doble curado, como el poli (metacrilato de metilo) (PMMA), por ejemplo, Jet, Duralay; poli (metacrilato R ') (PR'MA; R' representa un grupo alquilo más grande que el metilo), por ejemplo, Trim, Snap; resinas de bisfenol A diglicidiléter metacrilato (bis-GMA), por ejemplo, Protemp Garant; y resinas de dimetacrilato de uretano curadas con luz visible (VLC), por ejemplo, Unifast LC, Triad. Cada uno de estos, o combinaciones de los mismos, puede convertirse en un polímero mediante polimerización por radicales libres (Gegauff y Holloway, 2006; Gratton y Aquilino, 2004). La selección del material debe basarse en propiedades clínicamente relevantes tales como resistencia, rigidez, reparabilidad, reacción exotérmica, contracción de polimerización, integridad marginal, color y estabilidad.
Fuerza y rigidez
Todos los materiales provisionales a base de resina tienen una resistencia relativamente pobre. Sin embargo, el PMMA tiene la mayor resistencia de las resinas acrílicas de metacrilato.(Gratton y Aquilino, 2004; Wang et al., 1989). Las resinas compuestas de bis-acrilo tienen el módulo de ruptura y el módulo de elasticidad a la flexión más alto de todos los tipos de materiales provisionales (Gratton y Aquilino, 2004; Ireland et al., 1998), mientras que las resinas de PMMA tienen mayor resistencia a la flexión que el compuesto resina (Gratton y Aquilino, 2004; Osman y Owen, 1993). La microdureza mejorada y la resistencia al desgaste han sido exhibidas por los materiales compuestos de resina bis-acrílica sobre los materiales provisionales tradicionales de PMMA (Gratton y Aquilino, 2004; Diaz-Arnold et al., 1999). La resistencia a la propagación de grietas (tenacidad a la fractura) es la más alta para PMMA, seguida de resina compuesta bis-GMA y PR'MA (Gratton y Aquilino, 2004; Gegauff y Pryor, 1987). La resina de dimetacrilato de uretano también tiene altos valores de tenacidad a la fractura (Gratton y Aquilino, 2004; Gegauff y Wilkerson, 1995). Los materiales de resina compuesta bis-GMA son más frágiles que el PMMA y, por lo tanto, es más probable que se fracturen en prótesis provisionales de gran envergadura (Gratton y Aquilino, 2004). La resistencia reparada de todos los restauradores provisionales los materiales son considerablemente menores que la resistencia de los materiales originales sin reparar (Gratton y Aquilino, 2004; Koumjian y Nimmo, 1990).
Reacción exotérmica
No importa qué material se use en la fabricación de una prótesis fija provisional, existe la posibilidad de que se produzca una lesión pulpar como resultado del calor liberado durante la reacción de fraguado exotérmico. En general, el PMMA exhibe la mayor liberación de temperatura durante la reacción exotérmica, seguido de PR'MA, compuesto de bis-acrilo y resinas de dimetacrilato de uretano VLC (Gratton y Aquilino, 2004; Wang et al., 1989; Grajower et al., 1979; Castelnuovo y Tjan, 1997). Al elegir un material provisional apropiado, minimizando el volumen de material utilizado y seleccionando una técnica apropiada para la fabricación de la prótesis provisional, se puede reducir el daño térmico a la pulpa.
Estabilidad de color
Se ha demostrado que los materiales provisionales de resina de dimetacrilato de uretano VLC son más estables al color que los compuestos de PMMA, seguidos de los de PR'MA (Gratton y Aquilino, 2004; Wang et al., 1989; Crispin y Caputo, 1979; Yaman et al., 1989; Yannikakis et al., 1998; Krug, 1975; Doray et al., 1997). Las superficies porosas y sin pulir tienden a oscurecerse más que las capas intermedias altamente pulidas materiales (Crispin y Caputo, 1979). Además, la inestabilidad del color puede deberse a la polimerización incompleta del material, la absorción de fluidos orales, la reactividad de la superficie, los hábitos alimenticios y la higiene bucal (Gratton y Aquilino, 2004).
Reporte de un caso
Un paciente de sexo masculino de 58 años había acudido al ala de pacientes externos de nuestro departamento, con una queja principal de falta de diente en los arcos maxilar y mandibular. El paciente quiere tener una prótesis fija ya que no estaba contento con la dentadura convencional [Figura 1] y [Figura 2] . Se registró un historial de casos adecuado para el paciente, incluido un historial médico que no era contributivo, con pruebas de laboratorio relevantes, exámenes dentales y orales. Se prepararon impresiones de diagnóstico y moldes. Se realizó un examen exhaustivo y el paciente estaba motivado para implantar prótesis. El mapeo óseo se realizó para evaluar el ancho del hueso, mediante el uso de ortopantamografía (OPG), se calculó la longitud del hueso disponible y se seleccionaron los implantes de tamaño apropiado [Figura 3]. Se preparó una plantilla quirúrgica para el maxilar y la mandíbula, y la posición de los implantes se decidió antes de la cirugía colocando un taladro en el implante.
|
|
|
|
Figura 1: Fotografía preoperatoria maxilar |
Figura 2: Fotografía preoperatoria mandibular |
|
|
|
|
Figura 3: Mapeo óseo y radiografía preoperatoria |
|
Fase quirúrgica
Se planificó un protocolo quirúrgico de dos etapas y se le pidió al paciente que tomara antibióticos y analgésicos antes de la cirugía. El colgajo mucoperióstico se elevó por todo el maxilar superior y la plantilla se colocó en la cresta de la cresta con broca piloto se lleva a cabo [Figura 4] y [Figura 5] . Se colocan herramientas paralelas y se verifican las angulaciones del implante. Se utilizaron taladros secuenciales y se colocaron implantes en el sitio de osteotomía y se introdujeron en el sitio hasta que se enterraron todos los hilos. Se colocaron tornillos de cubierta y se realizó la sutura [Figura 6]. La atención postoperatoria se ha administrado con antibióticos, analgésicos y enjuagues bucales. Se sugirió mantener la higiene bucal y la compresa de hielo si fuera necesario. Se siguió un procedimiento similar para la mandíbula y se realizó la sutura [Figura 7] . Después de 3 meses, el paciente fue retirado del mercado y se realizó una OPG postoperatoria y se verificó su adecuada osteointegración. Después de confirmar la osteointegración, el colgajo se elevó y se retiraron los tornillos de cobertura y se colocó por extensión de la mucosa y esperó durante una semana para que se produzca la curación (Adell R, etal., 1981) [Figura 8] .
|
|
|
|
Figura 4: Solapa elevadora en el maxilar |
Figura 5: Taladro inicial en posición |
|
|
|
|
Figura 6: Antes de colocar los tornillos de la cubierta |
Figura 7: Tornillos de la cubierta colocados en el arco mandibular |
|
|
|
|
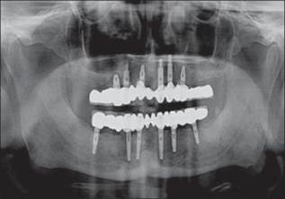
Figura 8. Prótesis final en posición |
|
Fase protésica
Después de la curación, se eliminaron las extensiones por mucosa y se colocaron análogos de impresión. La impresión de bandeja abierta se realizó con material de impresión elastomérico y se aflojaron los análogos de impresión. El análogo de implante se roscó al análogo de impresión en la bandeja de impresión y se vertió el molde. Se colocó el pilar sobre el yeso y se realizó el montaje. Se llevó a cabo una prueba con metal, luego se realizó la acumulación de cerámica y se fabricó la prótesis final y se verificó en la cavidad oral y se realizó la cementación final [Figura 9] . Las instrucciones de higiene oral postoperatorias se dieron al paciente y se realizó un seguimiento adecuado (Kim, Misch y Wang, 2005).

Figura 9. Prótesis final
Discusión
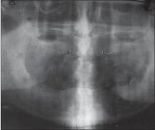
El tratamiento del edentulismo parcial y total con implantes dentales se ha convertido en un procedimiento predecible para la mayoría de los pacientes y se espera que desempeñe un papel importante en la rehabilitación oral. La colocación quirúrgica de implantes dentales es un tratamiento bien documentado para el edentulismo (Adell et al., 1990). Las tasas de éxito del tratamiento son altas y las complicaciones postoperatorias fueron relativamente modestas. El tratamiento exitoso de implantes implica la osteointegración de implantes que se colocan en posiciones ideales para la fabricación de una prótesis dental (Jacobs et al., 1999). La evaluación clínica periódica del accesorio del implante, la prótesis y el tejido circundante es crítica para el éxito clínico. En el presente caso, el paciente fue llamado por cada 3, 6 y 12 meses, se realizó la extracción profesional de depósitos supragingivales y subgingivales de forma regular [Figura 10] .

Figura 10: Radiografía postoperatoria de seis meses
Conclusión
La disponibilidad de una opción de tratamiento fijo es un avance notable en la prostodoncia. Es una de las modalidades de tratamiento más gratificantes de la odontología, pero exige una considerable habilidad y juicio y un alto grado de compromiso y comprensión del paciente. En el presente informe de caso, el paciente estaba completamente satisfecho con el resultado del tratamiento en comparación con su dentadura postiza convencional anterior.
REFERENCIAS BIBLIOGRÁFICAS
1. Adell R, Errikson B, Lekholm U, Branemark PI, Jemt T. (1990). Estudio de seguimiento a largo plazo de implantes osteointegrados en el tratamiento de mandíbulas totalmente edéntulas. Int J Oral Maxillofac Implants ; 5: 347-59.
2. Adell R, Lekholm U, Rockler B, Branemark PI. (1981) Un estudio de 15 años de implantes osteointegrados en el tratamiento de la mandíbula edéntula. Int J Oral Surg; 10: 387-416.
3. Castelnuovo J. y Tjan A. (1997). Aumento de la temperatura en la cámara pulpar durante la fabricación de coronas resinosas provisionales. J Prosthet Dent
4. Crispin B. y Caputo A. (1979). Estabilidad del color de materiales restauradores temporales. J Prosthet Dent
5. Diaz-Arnold A, et al. (1999). Microdureza de materiales prostodónticos fijos provisionales. J Prosthet Dent
6. Donaldson D. (1974). La etiología de la recesión gingival asociada con coronas temporales. J Periodontol
7. Doray P., et al. (1997). El envejecimiento acelerado afecta la estabilidad del color de los materiales restauradores provisionales. J Prosthodont.
8. El-Ebrashi M., et al. (1970). Análisis de estrés experimental de restauraciones dentales. VII. Diseño estructural y análisis de tensiones de prótesis parciales fijas. J Prosthet Dent 1970; 23: 177-86.
9. Federick D. (1975). La dentadura postiza parcial fija provisional. J Prosthet Dent 1975; 34: 520-6.
10. Fox K. y Gutteridge D. (1997). Un estudio in vitro de microfiltración coronal en dientes tratados con endodoncia restaurados por la técnica posterior y central. Int Endod J.
11. Gegauff A y Holloway J. (2006). Restauraciones fijas provisionales. En: Prostodoncia fija contemporánea, Rosenstiel SF, Land MF, Fujimoto J eds. San Luis: Mosby
12. Gegauff A. y Pryor H. (1987). Resistencia a la fractura de resinas provisionales para prostodoncia fija. J Prosthet Dent
13. Gegauff A. y Wilkerson J. (1995). Pruebas de resistencia a la fractura de resinas de restauración provisional iniciadas por luz visible y química. Int J Prosthodont 1995; 8: 62-8.
14. George AJ. (2004). Los predicamentos desdentados. En: Zarb, editor. Libro de texto de Tratamiento prostodóntico para pacientes edéntulos,12ª ed. Noida: editores de Elsevier. p. 3-5.
15. Glosario de Términos Prostodónticos. (2005). J Prosthet Dent;
16. Grajower R, et al (1979). Aumento de temperatura en la cámara de pulpa durante la fabricación de coronas de resina autopolimerizables temporales. J Prosteht Dent
17. Gratton D. y Aquilino S. (2004). Restauraciones provisionales. Dent Clin North Am
18. Ireland M, et al (1998). Comparación de propiedades mecánicas in vitro de cuatro resinas utilizadas para la fabricación de restauraciones fijas provisionales. J Prosthet Dent.
19. Jacobs R, Andriansens A, Verstreken K, Seutens P, van Steenberghe D. (1999). Previsibilidad de un sistema de planificación tridimensional para la cirugía de implante oral. Dentomaxillofac Radiol; 28: 105-11.
20. Kim Y, Misch C y Wang H. (2005). Consideraciones oclusales en la terapia de implantes: guías clínicas con justificación biomecánica. Implantes orales Clin Res 16: 26-35
21. Koumjian J, et al (1991). Estabilidad del color de los materiales provisionales in vivo. J Prosthet Dent
22. Koumjian J. y Nimmo A. (1990). Evaluación de la resistencia a la fractura de las resinas utilizadas para restauraciones provisionales. J Prosthet Dent 1990; 64: 654-7.
23. Krug S. (1975). Coronas y puentes temporales de resina. Dent Clin North Am
24. Osman Y. y Owen C. (1993). Resistencia a la flexión de materiales restauradores provisionales. J Prosthet Dent.
25. Phillips RW. (1982). La ciencia de los materiales dentales de Skinner, 8th ed. Filadelfia: WB Saunders
26. Rieder C. (1989). Uso de restauraciones provisionales para desarrollar y alcanzar expectativas estéticas. Int J Periodontics Restorative Dent
27. Skurow H y Nevins M. (1988) La justificación de la restauración del ensayo biológico provisional preperiodontal. Int J Periodontics Restorative Dent .
28. Waerhaug J. (1953). Reacciones tisulares alrededor de coronas artificiales. J Periodontol
29. Waerhaug J. (1980). Restauraciones temporales: ventajas y desventajas. Dent Clin North Am
30. Wang R, et al. (1989). Una comparación de resinas para la fabricación de restauraciones fijas provisionales. Int J Prosthodont
31. Yaman P., et al. (1989). •Estabilidad de color in vitro de restauraciones provisionales. Am J Dent
32. Yannikakis S, et al. (1998). Estabilidad del color de los materiales restauradores de resina provisionales. J Prosthet Dent
33. Yuodelis R. y Faucher R. (1980). Restauraciones provisionales: un enfoque integrado de periodoncia y odontología restauradora. Dent Clin North Am
REFERENCES CONSULTED
1. Adell R, Errikson B, Lekholm U, Branemark PI, Jemt T. (1990). Long-term follow-up study of osseointegrated implants in the treatment of fully edentulous jaws. Int J Oral Maxillofac Implants; 5: 347-59.
2. Adell R, Lekholm U, Rockler B, Branemark PI. (1981) A 15-year study of osseointegrated implants in the treatment of the edentulous jaw. Int J Oral Surg; 10: 387-416.
3. Castelnuovo J. and Tjan A. (1997). Increase in the temperature in the pulp chamber during the production of temporary resinous crowns. J Prosthet Dent
4. Crispin B. and Caputo A. (1979). Color stability of temporary restorative materials. J Prosthet Dent
5. Diaz-Arnold A, et al. (1999). Microhardness of provisional fixed prosthodontic materials. J Prosthet Dent
6. Donaldson D. (1974). The etiology of the gingival recession associated with temporary crowns. J Periodontol
7. Doray P., et al. (1997). Accelerated aging affects the color stability of provisional restorative materials. J Prosthodont.
8. El-Ebrashi M., et al. (1970). Experimental stress analysis of dental restorations. VII. Structural design and stress analysis of fixed partial dentures. J Prosthet Dent 1970; 23: 177-86.
9. Federick D. (1975). Temporary fixed partial denture. J Prosthet Dent 1975; 34: 520-6.
10. Fox K. and Gutteridge D. (1997). An in vitro study of coronal microfiltration in teeth treated with endodontics restored by the posterior and central technique. Int Endod J.
11. Gegauff A and Holloway J. (2006). Provisional fixed restorations. In: Contemporary fixed prosthodontics, Rosenstiel SF, Land MF, Fujimoto J eds. St. Louis: Mosby
12. Gegauff A. and Pryor H. (1987). Fracture resistance of provisional resins for fixed prosthodontics. J Prosthet Dent
13. Gegauff A. and Wilkerson J. (1995). Fracture resistance tests of provisional restoration resins initiated by visible and chemical light. Int J Prosthodont 1995; 8: 62-8.
14. George AJ. (2004). Toothless predicaments. In: Zarb, editor. Textbook of Prosthodontic treatment for edentulous patients, 12th ed. Noida: Elsevier editors. p. 3-5.
15. Glossary of Prosthodontic Terms. (2005). J Prosthet Dent;
16. Grajower R, et al (1979). Temperature increase in the pulp chamber during the manufacture of temporary self-curing resin crowns. J Prosteht Dent
17. Gratton D. and Aquilino S. (2004). Provisional restorations Dent Clin North Am
18. Ireland M, et al (1998). Comparison of mechanical properties in vitro of four resins used for the manufacture of temporary fixed restorations. J Prosthet Dent.
19. Jacobs R, Andriansens A, Verstreken K, Seutens P, van Steenberghe D. (1999). Predictability of a three-dimensional planning system for oral implant surgery. Dentomaxillofac Radiol; 28: 105-11.
20. Kim Y, Misch C and Wang H. (2005). Occlusal considerations in implant therapy: clinical guides with biomechanical justification. Clin Res 16 oral implants: 26-35
21. Koumjian J, et al (1991). Color stability of provisional materials in vivo. J Prosthet Dent
22. Koumjian J. and Nimmo A. (1990). Evaluation of the resistance to fracture of the resins used for provisional restorations. J Prosthet Dent 1990; 64: 654-7.
23. Osman Y. and Owen C. (1993). Flexural strength of provisional restorative materials. J Prosthet Dent.
24. Phillips RW. (1982). The science of Skinner's dental materials, 8th ed. Philadelphia: WB Saunders
25. Rieder C. (1989). Use of provisional restorations to develop and achieve aesthetic expectations. Int J Periodontics Restorative Dent
26. Skurow H and Nevins M. (1988) The rationale for the restoration of the preperiodontal provisional biological test. Int J Periodontics Restorative Dent.
27. Waerhaug J. (1953). Tissue reactions around artificial crowns. J Periodontol
28. Waerhaug J. (1980). Temporary restorations: advantages and disadvantages. Dent Clin North Am
29. Waerhaug J. (1980). Temporary restorations: advantages and disadvantages. Dent Clin North Am
30. Wang R, et al. (1989). A comparison of resins for the manufacture of temporary fixed restorations. Int J Prosthodont
31. Yaman P., et al. (1989). • In vitro color stability of provisional restorations. Am J Dent
32. Yannikakis S, et al. (1998). Color stability of temporary resin restorative materials. J Prosthet Dent
33. Yuodelis R. and Faucher R. (1980). Provisional restorations: an integrated approach to periodontics and restorative dentistry. Dent Clin North Am
©2019 por los autores. Este artículo es de acceso abierto y distribuido según los términos y condiciones de la licencia Creative Commons Atribución-NoComercial-CompartirIgual 4.0 Internacional (CC BY-NC-SA 4.0) (https://creativecommons.org/licenses/by-nc-sa/4.0/).