https://doi.org/10.35381/s.v.v8i2.4273
Tratamiento de displasia discal sin reducción mediante propulsor mandibular en paciente de 12 años
Treatment of non-reduction disc dysplasia by mandibular propulsor in a 12-year-old patient
María Belén Loyola-Castillo
Universidad Católica de Cuenca, Cuenca, Azuay
Ecuador
https://orcid.org/0009-0006-1859-0784
Oscar Sergio Palmas
Universidad Católica de Cuenca, Cuenca, Azuay
Ecuador
https://orcid.org/0000-0001-9792-6579
Recibido: 15 de diciembre 2023
Revisado: 20 de enero 2024
Aprobado: 15 de marzo 2024
Publicado: 01 de abril 2024
RESUMEN
Objetivo: Evaluar el uso de dispositivos de avance mandibular en el tratamiento de la displasia discal sin reducción en pacientes jóvenes. Método: Se realizó un reporte de caso clínico en una paciente de 12 años con diagnóstico de displasia discal bilateral sin reducción. Se utilizaron anamnesis, exámenes físicos y estudios de imagen (CBCT). El tratamiento consistió en un aparato de avance mandibular tipo monoblock. Resultados: Después de 12 meses de seguimiento, se observó la formación de un pseudodisco que compensó el adelantamiento discal, alcanzando los objetivos del tratamiento. Conclusiones: El uso temprano de dispositivos de avance mandibular es efectivo para mejorar la función articular y reducir el dolor en pacientes pediátricos con TTM. Sin embargo, se requiere seguimiento a largo plazo para garantizar la estabilidad de los resultados.
Descriptores: Implantación dental; reimplante dental; diente. (Fuente: DeCS).
ABSTRACT
Objective: To evaluate the use of mandibular advancement devices in the treatment of non-reducing disc dysplasia in young patients. Methods: A clinical case report was carried out in a 12-year-old female patient with a diagnosis of bilateral non-reduction disc dysplasia. Anamnesis, physical examination and imaging studies (CBCT) were used. Treatment consisted of a monoblock mandibular advancement appliance. Results: After 12 months of follow-up, the formation of a pseudodisc that compensated for the disc advancement was observed, achieving the treatment objectives. Conclusions: Early use of mandibular advancement devices is effective in improving joint function and reducing pain in pediatric patients with TMD. However, long-term follow-up is required to ensure stable results.
Descriptors: Dental implantation; tooth replantation; tooth. (Source: DeCS).
INTRODUCCIÓN
Los trastornos temporomandibulares (TTM) son reconocidos como una fuente importante de dolor no dental y maxilofacial, cuya sintomatología es muy variable, siendo reconocida como una condición que puede repercutir de forma negativa en la calidad de vida, ya que afecta el normal desenvolvimiento del individuo en sus actividades diarias, entre estas actividades podrían destacar la trituración de alimentos, la dificultad concentración y eventos de perturbación en el sueño llegando incluso a representar en una limitante laboral 1.
Se estima que la prevalencia de TTM fluctúa entre un 30 a 50%, considerando que alrededor de un 10% de los casos son severos, convirtiéndose este en un problema de salud pública. Entre los casos severos de TTM es posible mencionar a la displasia discal sin reducción, que es uno de los trastornos que afecta a la articulación temporomandibular (ATM), este ocurre cuando existe un desplazamiento o interacción anormal entre el cóndilo y el disco articular durante el desplazamiento mandibular.
Se conoce como desplazamiento discal al fenómeno que se presenta cuando se da una distensión de la lámina retrodiscal inferior y el ligamento colateral discal, produciendo que el disco articular adopte una ubicación más anterior a causa del trabajo del músculo pterigoideo lateral superior, cuando no existe una reducción del disco la traslación del cóndilo hacia la zona anterior provocaría que el desplazamiento del disco sea por delante del cóndilo 2 3.
En este caso, al realizarse movimientos mandibulares excéntricos el disco se traslada hacia una posición anterior que en algunos casos es de manera permanente y la literatura lo describe como trabamiento de cierre 4. En cuanto a la sintomatología que caracteriza a la displasia discal sin reducción se encuentra a la restricción en la apertura bucal, la desviación al abrir la boca hacia el lado afectado y al examinar los estudios imagenológicos se presentaría un desplazamiento del disco sin reducción al igual que cambios osteoartríticos, así también, dentro de los criterios diagnósticos que pueden acompañar a esta patología se podría mencionar a el dolor en la palpación en la zona afectada, chasquidos o historial de bloqueos mandibulares, entre otros. Esta patología puede presentarse a resultado de traumas previos, microtraumatismos, incremento en la actividad muscular orofacial o por irregularidades articulares 5.
La tomografía computarizada de haz cónico (CBCT) es una técnica fácil de usar mediante la cual se consiguen imágenes de alta resolución de tejidos de la ATM, este estudio tiene tiene buena precisión para diagnosticar anomalías esqueléticas, elementos articulares, integridad del hueso cortical y defectos del hueso subcortical; permitiéndonos así, evaluar la morfología condilar, el límite del cóndilo mandibular, su posición en la fosa mandibular 6 7.
Partiendo de esta premisa y teniendo presente lo expuesto anteriormente, es posible mencionar que un estudio realizado a un grupo de voluntarios con desplazamiento discal, con sintomatología leve o asintomática, presentaron TTM y ante la baja sintomatología evidente fue posible observar el aumento de la gravedad de la patología, por lo que empezar con un tratamiento ortodóncico se convertiría en un riesgo mayor; a modo que, aquí radica la importancia de empezar a incluir como examen complementario de rutina a la CBCT 4.
Entre los tratamientos de la displasia discal sin reducción se describe la utilización de aparatos de avance mandibular cuya función es provocar una rotación en sentido contrario a las agujas del reloj (counter clockwise) del complejo maxilomandibular, provocando un efecto similar al ofrecido con las férulas de reposicionamiento anterior (ARS), que consiste en un cambio de la posición condilar buscando favorecer la adaptación de los tejidos retrodiscales. Entre de los cambios que se producen con este tratamiento incluye la neoformación de tejido fibroso adicional, al cual se podría llamar pseudodisco 9.
Se presenta como objetivo evaluar el uso de dispositivos de avance mandibular en el tratamiento de la displasia discal sin reducción en pacientes jóvenes.
MÉTODO
El presente estudio se enmarca como un reporte de caso clínico, basado en la evaluación de una paciente de 12 años de edad que acudió al servicio de Ortodoncia de la Clínica de Especialidades Odontológicas de la Universidad Católica de Cuenca en noviembre de 2022.
La metodología aplicada comenzó con una anamnesis detallada, donde los padres refirieron como motivo de consulta la preocupación por la posición elevada de los caninos de su hija. Durante la entrevista, el padre indicó que la paciente había estado bajo tratamiento con un otorrinolaringólogo debido a la presencia de ronquidos nocturnos y respiración bucal. Se exploró el historial médico y familiar, descartando antecedentes de traumas previos que pudieran estar relacionados con la condición actual de la paciente. El examen físico incluyó una evaluación extraoral que reveló una ligera asimetría facial, lo que levantó sospechas de una posible anomalía en el crecimiento craneofacial.
El examen intraoral se enfocó en una evaluación detallada de los tejidos blandos, donde no se observaron signos patológicos evidentes, como inflamaciones, lesiones o anomalías visibles. Asimismo, durante la exploración clínica, no se detectaron ruidos articulares en la articulación temporomandibular (ATM), lo que sugiere una ausencia de disfunción evidente en ese momento. Para obtener un diagnóstico más preciso y completo, se indicaron estudios de gabinete, entre ellos una tomografía computarizada de haz cónico (CBCT) que permitió obtener cortes laterales detallados del cráneo, y una ortopantomografía para evaluar la estructura dental y mandibular en su totalidad. Adicionalmente, se realizaron impresiones dentales con alginato para la elaboración de modelos de estudio en yeso, los cuales facilitaron el análisis de la oclusión y la disposición dental. Este abordaje integral, complementado con un registro fotográfico intraoral y extraoral, proporcionó la información necesaria para un diagnóstico preciso y la planificación de un tratamiento ortodóntico personalizado y adecuado para la paciente.
RESULTADOS
Al realizar un estudio de las fotografías extraorales (Figura 1), analizando la fotografía frontal se observa una ligera desviación del mentón hacia el lado izquierdo (A).

Figura 1. Evaluación inicial extraoral.
Elaboración: Los autores.
En el análisis de los tercios se determinó que el tercio medio se encuentra aumentado (B). En la fotografía de sonrisa se aprecia que la línea media facial con la línea media dental inferior no coincide, una sonrisa amplia que no expone en exceso el tejido gingival y no presenta corredores bucales (C). En la fotografía de perfil se observa un perfil convexo, contorno de la nariz recto, curva de Arnnet plana, ligera incompetencia labial, protrusión del labio superior e inferior y el músculo borla del mentón contraído (D).
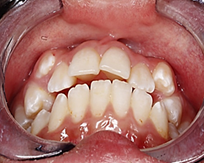
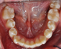
Al analizar las fotografías intraorales revelaron lo siguiente (Figura 2): Fotografía frontal: líneas medias dentales no coincidentes la inferior se encuentra con una desviación de 2 mm hacia la derecha, mordida abierta y caninos superiores ectópicos. (A). Fotografía lateral derecha (B) e izquierda (C): Clase II molar, clase canina no aplica debido a que los caninos no se encuentran en el arco.
Fotografía oclusal superior: Forma de arcada ovoide, apiñamiento en el sector anterior, palatinización de las piezas 1.2 y 2.2, piezas 1.3 y 2.3 ectópicas, paladar profundo (D). Fotografía oclusal inferior: Forma de arcada oval, lingualización de las piezas 4.5 y 4.6, ausencia de la pieza 3.7 (E). Fotografía de resalte: La sobremordida horizontal y vertical de -2 mm (F).
![]()
![]()
![]() |
![]() |
![]() |
.
![]() |
![]() |
|||
![]() |
|||
![]()
![]()
![]() |
|||
![]() |
|||
Figura 2. Evaluación inicial intraoral y radiográfica
Elaboración: Los autores.
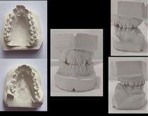
El análisis de discrepancia se realizó sobre los modelos de estudio obteniendo una discrepancia superior de - 4mm y una discrepancia inferior de -1.8 mm (G). En la ortopantomografía se observa que el seno maxilar izquierdo aparece velado, presencia de los 4 gérmenes de los terceros molares, cornetes hipertróficos, no se visualiza ensanchamiento del ligamento periodontal, no existen patologías periapicales (H). Los estudios cefalométricos que se realizaron fueron Rickkets, Jaraback y Steiner, obteniendo como resumen: patrón esqueletal Clase II por protrusión maxilar, a nivel de incisivos: protrusión y proinclinación del incisivo superior e inferior, VERT: +0,69 dándonos un patrón facial: braquifacial suave, en las esferas rotacionales de Jarabak: 54% indicándonos una tendencia a crecimiento rotacional posterior (I).
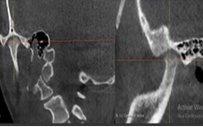
A través de los cortes tomográficos (Figura 3) se pudo observar que la rama mandibular derecha medía 43.85 mm y la izquierda 39.53 mm dando una diferencia de 4.34 mm lo que evidencia que la asimetría que presenta la paciente es a causa de la discrepancia de tamaño de las ramas mandibulares (A).
![]()

![]()
![]()

![]()
![]()




![]()
Figura 3. Planificación y tratamiento de la displasia discal sin reducción
Elaboración: Los autores.
En el corte a nivel de la articulación temporomandibular izquierda se observó un aplanamiento del cóndilo con áreas de cambios osteoartríticos leves (B); en la articulación temporomandibular derecha el cóndilo se encuentra con una severa osteoartritis que muestra una imagen hipodensa a nivel condilar compatible con un quiste subcondral (C).
Diagnóstico de ATM: La paciente presenta una displasia discal sin reducción bilateral.
Plan de tratamiento: Debido a todo lo expuesto se decidió colocar un aparato de avance mandibular tipo monoblock para recapturar el disco. Para ello se inició con la realización de una mordida constructiva para la confección del aparato, se llevó a una coincidencia de las líneas media y un adelantamiento mandibular de 3 mm (Figuras D, E y F). Posteriormente se envió los registros para la confección del dispositivo de avance mandibular tipo monoblock (Klammt Clase II) que fue instalado en marzo del 2023 constatando de que se encuentre totalmente adaptado (G), las indicaciones de uso fueron más de 20 horas al día aconsejando que la paciente se lo retire únicamente para comer y para el aseo respectivo. Los controles se realizaron a las 2 semanas y después con una frecuencia mensual durante 12 meses.
Se prescribió un nuevo examen tomográfico en el que se pudo constatar que se cumplió el objetivo de tratamiento, ya que se consiguió la descompresión de la zona retrodiscal dando lugar a la formación de un pseudodisco que compensó el adelantamiento discal bilateral existente.
Se pudo observar en la imagen tomográfica (Figura 4) la ATM derecha la neoformación de tejido óseo con una ligera erosión en la zona anterior del cóndilo mandibular (A), mientras que en la ATM izquierda se visualizó la formación de un osteofito el cual se genera en etapas avanzadas durante un cambio degenerativo a más de la formación de tejido óseo (B).
Con el presente caso clínico se concluye que, si es posible conseguir mediante la descomprensión en la zona retrodiscal la neo formación de tejido estimulando una fibrosis y por consiguiente a un pseudo disco, también que un factor clave del éxito terapéutico reside en la educación del paciente y sus familiares orientándolos sobre la condición que adolece.
![]()
![]() |
Figura 4. Evaluación al primer mes de control
Elaboración: Los autores.
En muchas ocasiones el examen clínico es insuficiente para diagnosticar las alteraciones de la ATM 5. La Resonancia magnética y tomografía computarizada son las mejores herramientas para diagnosticar los TTM; además de proporcionar excelentes imágenes estáticas de rutina, tiene la capacidad de analizar la posición del disco y la excursión condilar a lo largo del proceso dinámico de apertura y cierre de la boca a través de múltiples imágenes estáticas seriadas 3. La mayor prevalencia de los TTM en pacientes femeninos es un hecho bien conocido, algunos autores han señalado que más del 75% de las personas afectadas son mujeres 9 10.
DISCUSIÓN
Aunque el desplazamiento discal es sin duda muy frecuente encontrar pacientes sintomáticos, existen individuos como en el presente estudio que son asintomáticos lo que dificulta aún más la interpretación adecuada del examen clínico partiendo de la premisa de que se sugiere que tras el desplazamiento discal, el dolor y la disfunción se debían a la presión del cóndilo sobre la zona bilaminar altamente vascularizada e inervada o, alternativamente, el dolor podría deberse a la presión y/o distensión de la cápsula articular por el desplazado 2.
En el presente estudio se observó a través de cortes tomográficos que al emplear el dispositivo de avance mandibular se logró la neoformación de un pseudodisco articular, datos que fueron también descritos por 8 en un estudio clínico para tratar un desplazamiento discal a través de un splint de reposición anterior, discrepando con el estudio de 11 en el que tuvieron como resultado que no es un tratamiento efectivo emplear un aparato funcional en adolescentes con displasia discal sin reducción ya que únicamente una relación disco-cóndilo normal beneficia el crecimiento del cóndilo por aparato funcional 8 11.
Según lo revisado en la literatura, los trabajos de 4 concuerdan con que la ubicación del cóndilo juega un papel primordial y crítico para el diagnóstico inicial en los tratamientos de Ortodoncia. El estudio de 12 describe la asociación entre la deformidad discal y el desplazamiento anteroposterior del disco, especialmente la displasia discal sin reducción que se asoció a un mayor riesgo de deformidad discal que las demás formas de, sugiriendo que la deformidad discal refleja la gravedad de la alteración interna encontrando similitud con los hallazgos en el nuestros.
En los estudios de 13 exponen que un mayor grado de desplazamiento anterior del disco se asocia a una mayor probabilidad de cambios morfológicos graves en el disco, que se desplaza permanentemente, perdiendo su forma bicóncava normal y volviéndose difícil de reducir en el cóndilo, guardando similitud con el presente trabajo. Han informado de que un mayor número de cóndilos aplanados se asocia a la displasia discal sin reducción lo que sugiere que éste puede ser el cambio inicial de una enfermedad progresiva.
Se ha observado que los cambios óseos en los cóndilos son estadísticamente similares en las displasias con y sin reducción, excepto la combinación de erosión y osteofitos, que es más frecuente en la displasia con reducción, razón por la cual la paciente de nuestro estudio puede presentar cambios a nivel óseo en la ATM 4.
Actualmente no existe suficiente evidencia que respalde una relación entre los cambios en la fosa glenoidea y la incidencia de los TTM, la degeneración de la fosa glenoidea se asoció significativamente con la displasia discal sin reducción mientras que 13 informaron de que los cambios en la fosa glenoidea eran más frecuentes entre los pacientes con cualquier TTM sin una asociación definida.
Los resultados del presente trabajo sugieren que la displasia discal sin reducción está significativamente asociada con cambios óseos degenerativos, así como con una alta probabilidad de deformidad discal. Los cambios en la eminencia articular parecen ser un factor que desencadena la progresión de las alteraciones internas de la ATM 14.
Se concuerda con los diferentes autores de que siempre que se sospeche de una anomalía de la ATM se debe prescribir al paciente una tomografía o resonancia magnética para llegar a un diagnóstico preciso tal como señalan en sus estudios de 15 ya que además con un estudio posterior de control nos permite conocer si los cambios degenerativos han cesado, ha empezado un modelado de la ATM restaurando el equilibrio biomecánico o se ha mantenido.
Si existen erosiones o quistes subcondrales invitan a hacer un diagnóstico diferencial de enfermedades degenerativas e inflamatorias, como menciona el trabajo de 16. En este estudio, la formación de osteofitos puede considerarse como una respuesta adaptativa del organismo en su deseo de equilibrar los cambios degenerativos existentes comprimiendo las articulaciones, la formación de osteofitos ayuda a la superficie a resistir la sobrecarga de las fuerzas oclusales, son áreas de formación de nuevo cartílago 17.
CONCLUSIONES
El uso de dispositivos de avance mandibular, como el propulsor mandibular, puede ser una opción terapéutica efectiva para tratar la displasia discal sin reducción en pacientes jóvenes, al promover el realineamiento y la estabilización de la articulación temporomandibular (ATM) sin intervención quirúrgica.
La intervención temprana en pacientes pediátricos durante la fase de crecimiento es clave, ya que la mayor plasticidad de las estructuras óseas y articulares permite una corrección más efectiva de las disfunciones articulares, facilitando resultados más estables y duraderos.
Durante el tratamiento, se evidenció una reducción del dolor y una mejora en la funcionalidad articular, lo que sugiere que los dispositivos de avance mandibular no solo alivian los síntomas, sino que también fomentan la adaptación y remodelación de la ATM.
Las imágenes de seguimiento demostraron una progresiva adaptación de las estructuras articulares, indicando que el uso del propulsor mandibular contribuyó a una mejor relación entre el cóndilo y el disco, favoreciendo la función articular normal.
Aunque el tratamiento mostró resultados positivos, es necesario realizar un seguimiento a largo plazo para evaluar la estabilidad de los efectos alcanzados y analizar si se requieren ajustes adicionales, así como comparar esta modalidad con otros enfoques terapéuticos en un mayor número de pacientes.
CONFLICTO DE INTERÉS
Los autores declaran que no tienen conflicto de interés en la publicación de este artículo
FINANCIAMIENTO
Autofinanciado
AGRADECIMIENTO
A la Unidad Académica de Posgrado de la Universidad Católica de Cuenca por incentivar la investigación.
REFERENCIAS
1. Talmaceanu D, Lenghel LM, Bolog N, Buduru S, Leucuta D, Rotar H. High-resolution ultrasound imaging compared to magnetic resonance imaging for temporomandibular joint disorders: An in vivo study. European Journal of Radiology. 2020;132. https://doi.org/10.1016/J.EJRAD.2020.109291
2. Kumar R, Pallagatti S, Sheikh S, Mittal A, Gupta D, Gupta S. Send Orders for Reprints to reprints@benthamscience.ae Correlation Between Clinical Findings of Temporomandibular Disorders and MRI Characteristics of Disc Displacement. The Open Dentistry Journal. 2015;31(9):273-281. https://doi.org/10.2174/1874210601509010273
3. Simmons HC, Julian Gibbs S. Anterior Repositioning Appliance Therapy for TMJ Disorders: Specific Symptoms Relieved and Relationship to Disk Status on MRI. The Journal of Craniomandibular Sleep Practice. 2014;23(2):89-99. https://doi.org/10.1179/CRN.2005.014
4. Bauer W, Augthun M, Wehrbein H, Müller Leisse C, Diedrich P. The diagnosis and orthodontic relevance of anterior disk displacement without reduction. Clinical, axiographic and magnetic resonance tomographic studies. Fortschritte Der Kieferorthopadie. 1994;55(1):21-27. https://doi.org/10.1007/BF02175372
5. Hernández P, Karibe H. Desplazamiento agudo del disco sin reducción. Acta Odontológica Venezolana. 2004;42(1):3437. https://n9.cl/df70o
6. Owen AH. Unexpected TMJ responses to functional jaw orthopedic therapy. American Journal of Orthodontics and Dentofacial Orthopedics: Official Publication of the American Association of Orthodontists, Its Constituent Societies, and the American Board of Orthodontics. 1988;94(4):338-349. https://doi.org/10.1016/0889-5406(88)90059-5
7. Varghese R, Adams NG, Slocumb NL, Viozzi CF, Ramar K, Olson EJ. Maxillomandibular advancement in the management of obstructive sleep apnea. International Journal of Otolaryngology. 2012;2012(1):1-8. https://doi.org/10.1155/2012/373025
8. Minervini G, Nucci L, Lanza A, Femiano F. Temporomandibular disc displacement with reduction treated with anterior repositioning splint: A 2-year clinical and magnetic resonance imaging (MRI). Journal of Biological Regulators and Homeostatic Agents. 2020. https://n9.cl/d38gc
9. De Melo DP, Sousa Melo SL, De Andrade Freitas Oliveira LS, Ramos Perez FMDM, Campos PSF. Evaluation of temporomandibular joint disk displacement and its correlation with pain and osseous abnormalities in symptomatic young patients with magnetic resonance imaging. Oral Surgery, Oral Medicine, Oral Pathology and Oral Radiology. 2015;119(1):107-112. https://doi.org/10.1016/J.OOOO.2014.09.022
10. Rabelo KA, Sousa Melo SL, Torres MGG, Campos PSF, Bento PM, Melo DP. Condyle Excursion Angle, Articular Eminence Inclination, and Temporomandibular Joint Morphologic Relations With Disc Displacement. Journal of Oral and Maxillofacial Surgery : Official Journal of the American Association of Oral and Maxillofacial Surgeons. 2017;75(5):938-938. https://doi.org/10.1016/J.JOMS.2017.01.019
11. Bustamante Quichimbo DdC, Puebla Ramos L, Pesantez Solano SM, Ramos Montiel RR. Capítulo 3. Etiología, clasificación, diagnóstico y tratamiento de las maloclusiones en niños mediante el uso de aparatos bimaxilares de ortopedia funcional maxilar. Sociedad Del Conocimiento: Resultados de Investigaciones Universitarias. 2023; ISBN 978-9942-7099-1-2:76-101. https://n9.cl/6vkq6
12. Aguilar G, Hernández Andara A, Ortega Pertuz AI, Quevedo Piña M. Desplazamiento Posterior Bilateral del Disco de la Articulación Temporomandibular: Evidencia en Resonancia Magnética Bilateral Posterior Displacement of the Temporomandibular Joint Disc: Evidence on Magnetic Resonance Imaging. International Journal of Odontostomatology. 2021;15(1):111-118. http://dx.doi.org/10.4067/S0718-381X2021000100111
13. Hidaka O, Adachi S, Takada K. The Difference in Condylar Position between Centric Relation and Centric Occlusion in Pretreatment Japanese Orthodontic Patients. Angle Orthodontist. 2002;72(4):295-301. https://doi.org/10.1043/0003-3219(2002)072<0295:TDICPB>2.0.CO;2
14. Dawson PE. New definition for relating occlusion to varying conditions of the temporomandibular joint. The Journal of Prosthetic Dentistry. 1995;74(6):619-627. https://doi.org/10.1016/S0022-3913(05)80315-4
15. Galarza Morales RC. Evaluación del espacio articular y posición condilar sagital según relación esquelética en tomografías computarizadas Cone Beam de pacientes del Servicio de Ortodoncia del Postgrado de la Facultad de Estomatología de la Universidad Peruana Cayetano Heredi. 2016. https://repositorio.upch.edu.pe/handle/20.500.12866/79
16. Dillenseger JP, Gros CI, Sayeh A, Rasamimanana J, Lawniczak F, Leminor JM, Matern JF, Constantinesco A, Bornert F, Choquet P. Image quality evaluation of small FOV and large FOV CBCT devices for oral and maxillofacial radiology. Dentomaxillofacial Radiology. 2016;46(1). https://doi.org/10.1259/dmfr.20160285
17. Izurieta Galarza PF, Ramos Montiel RR, Reinoso Quezada S. Cirugía de avance maxilo-mandibular como tratamiento alternativo del Apnea Obstructiva del Sueño: Revisión de Literatura [Maxillo-mandibular advancement surgery as an alternative treatment for Obstructive Sleep Apnoea: Literature Review]. Odontología Activa Revista Científica. 2022;7(Esp.):9-18: https://doi.org/10.31984/OACTIVA.V7IESP..827
©2024 por los autores. Este artículo es de acceso abierto y distribuido según los términos y condiciones de la licencia Creative Commons Atribución-NoComercial-CompartirIgual 4.0 Internacional (CC BY-NC-SA 4.0) (https://creativecommons.org/licenses/by-nc-sa/4.0/)